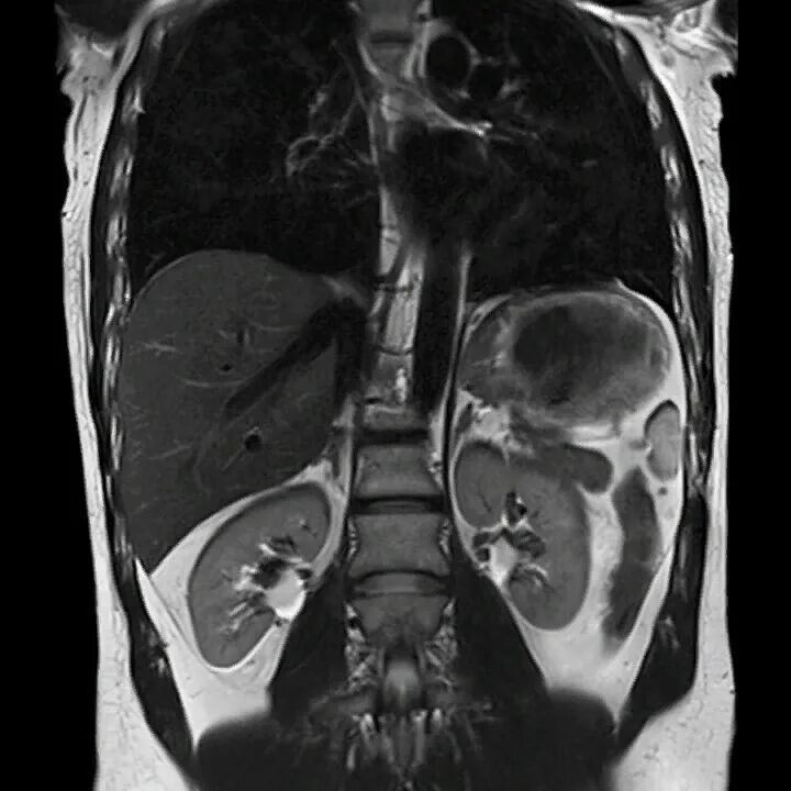
Кт брюшного пространства что показывает