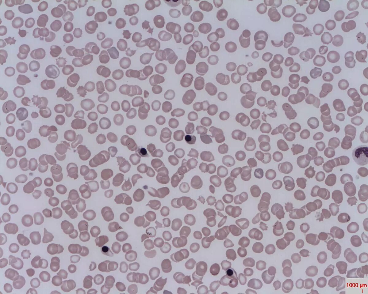
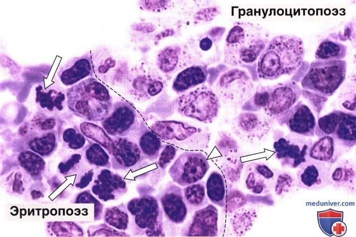
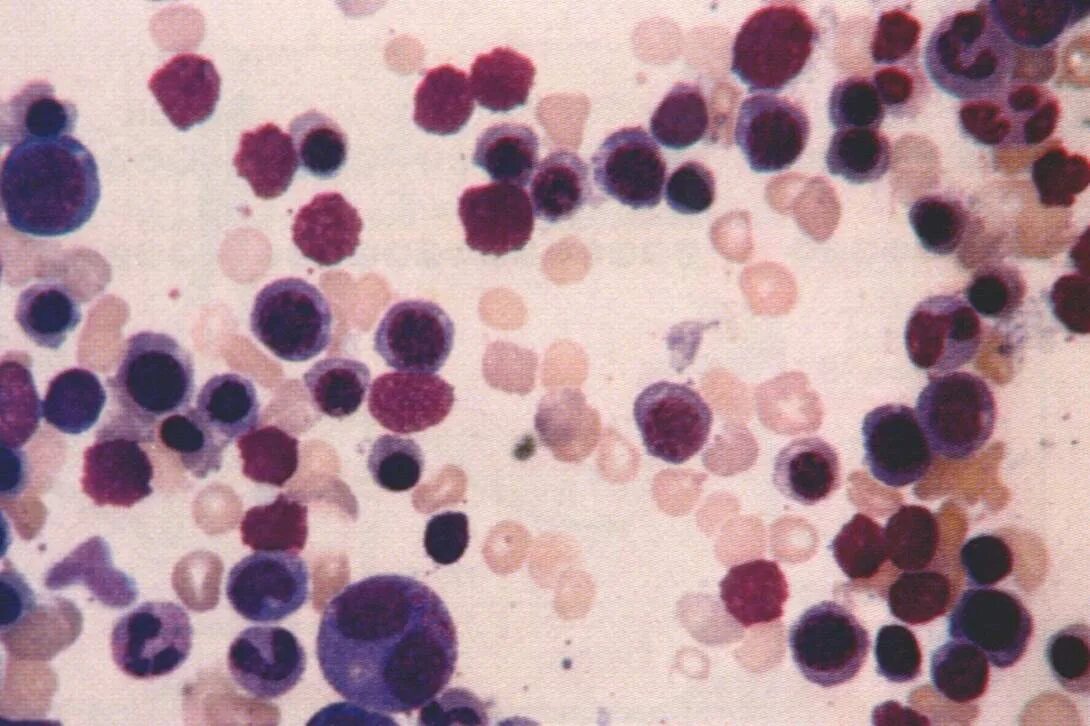
Красный костный мозг эритроциты