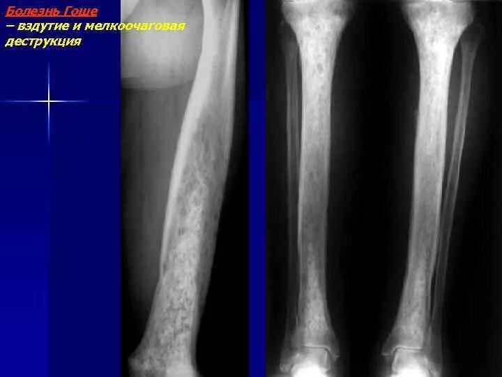
Костные структуры с дистрофическими изменениями