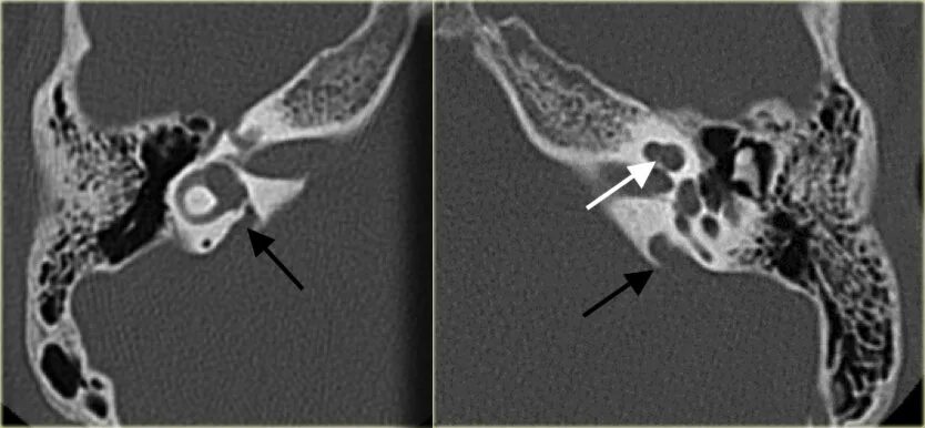
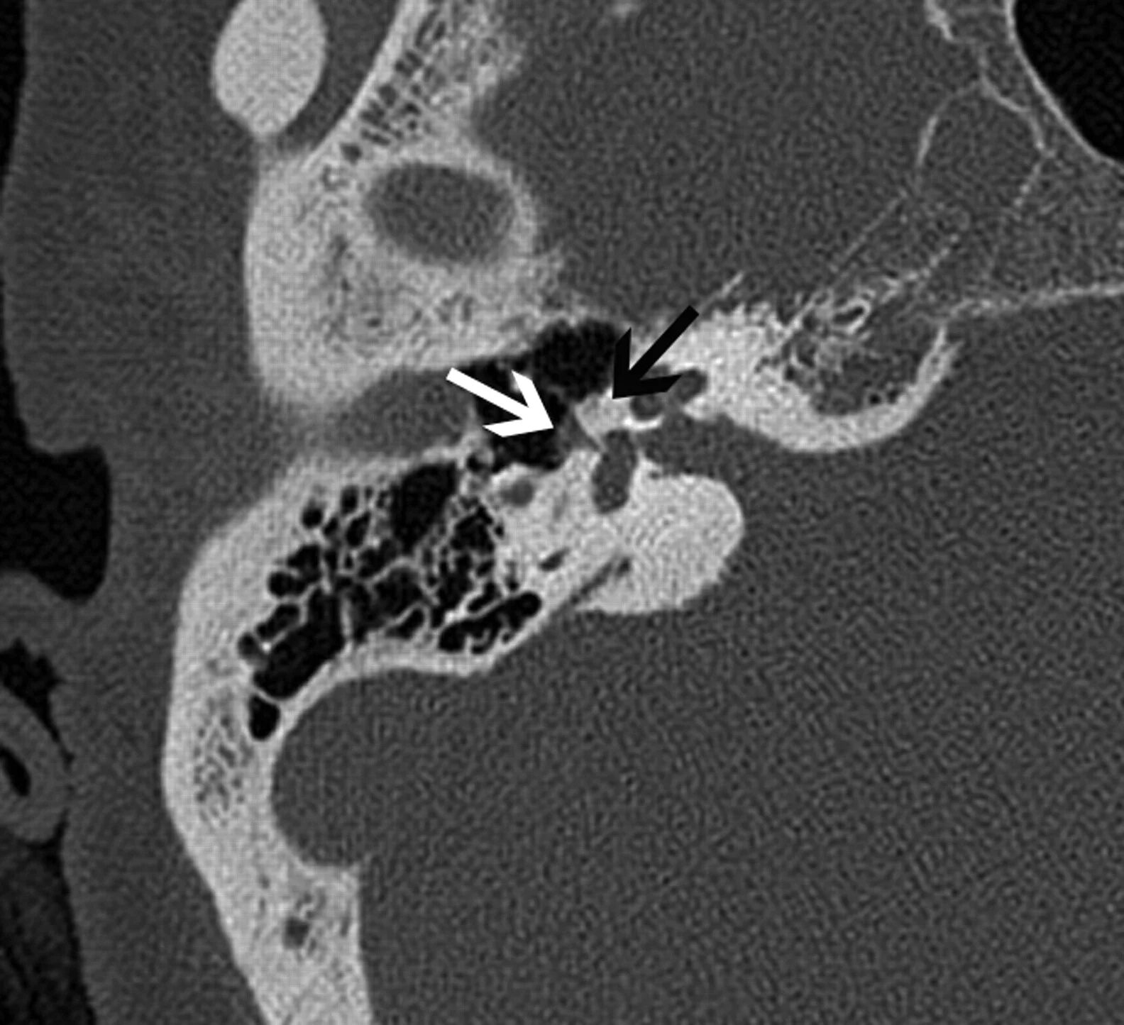
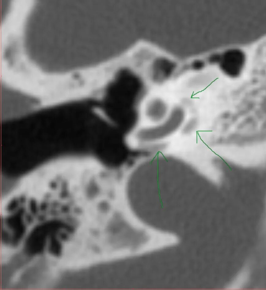
Кохлеарный отосклероз