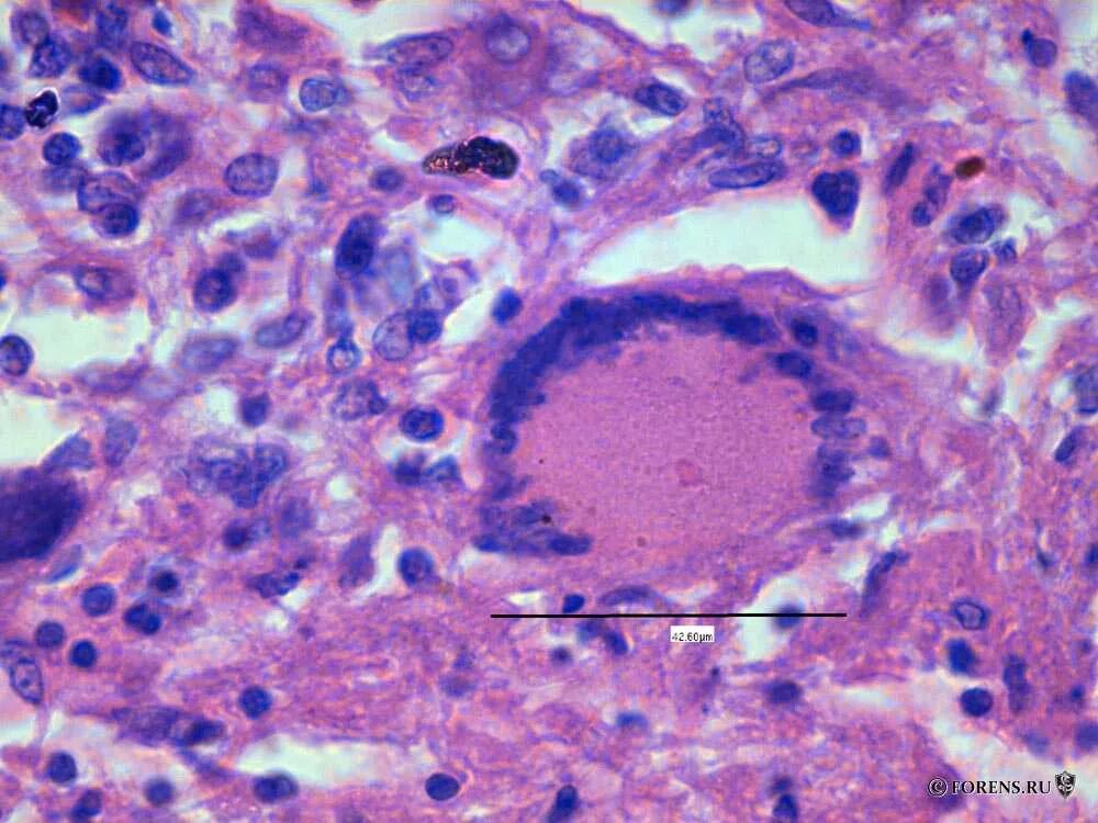
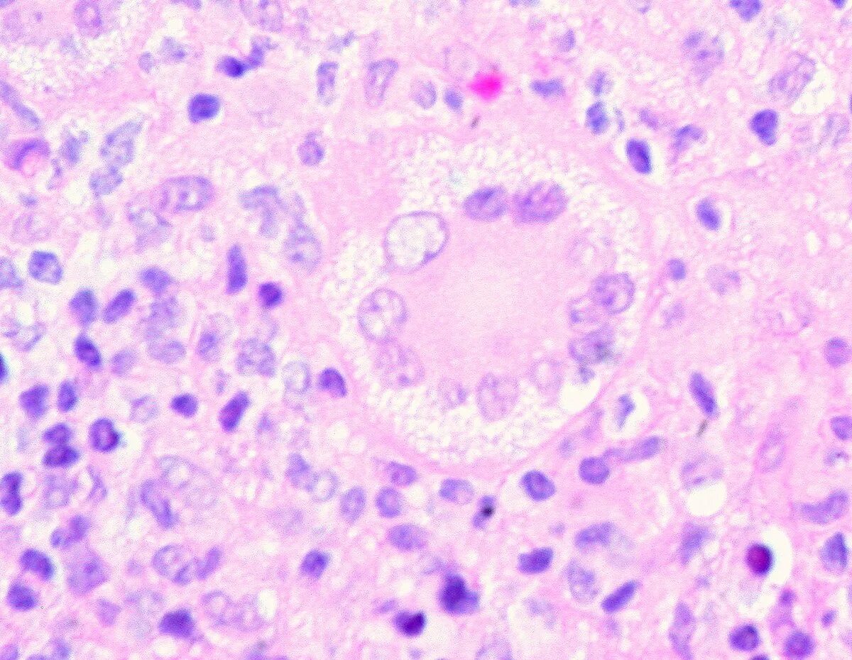
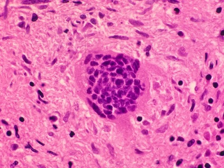
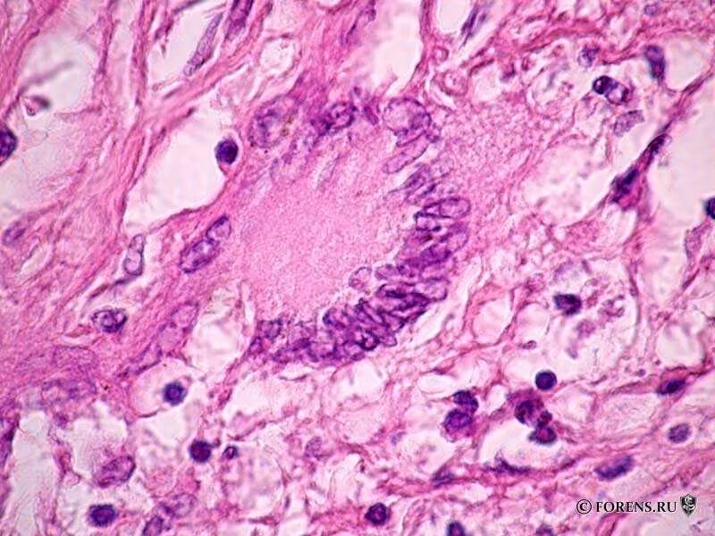
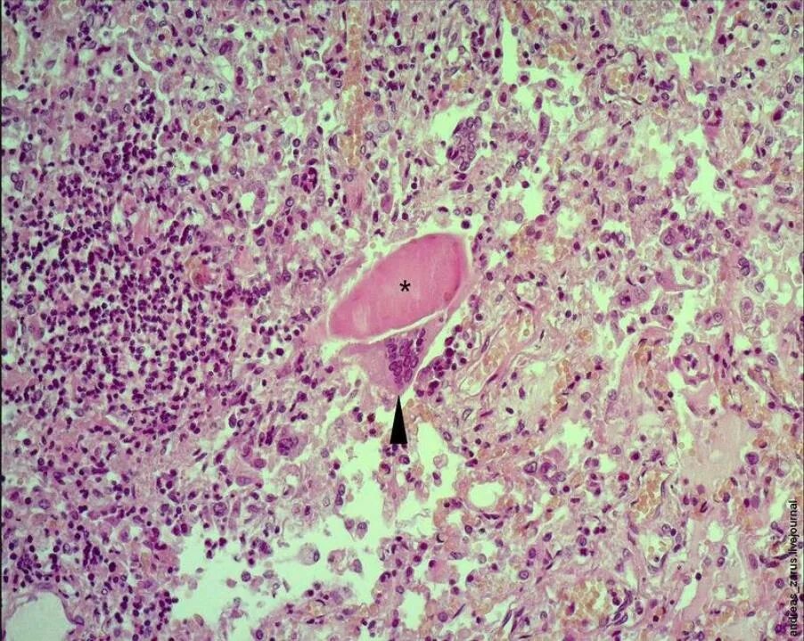
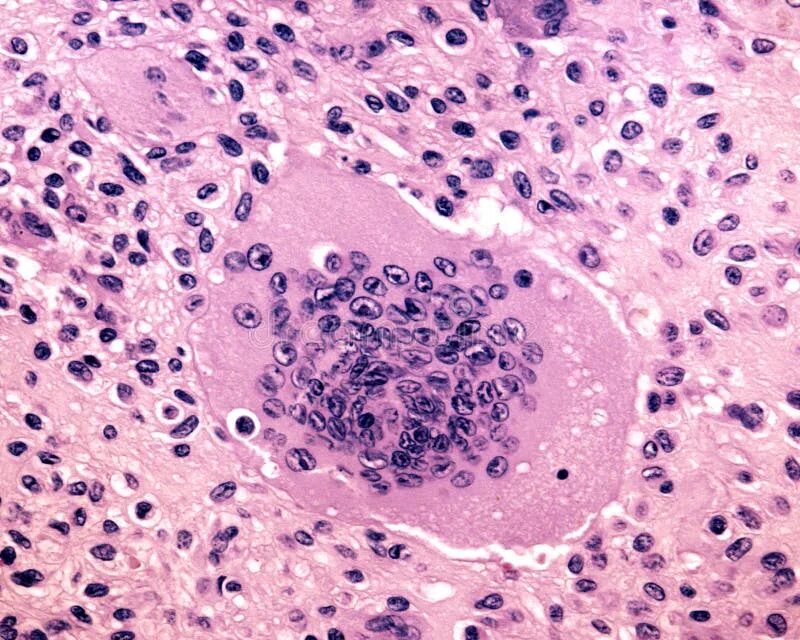
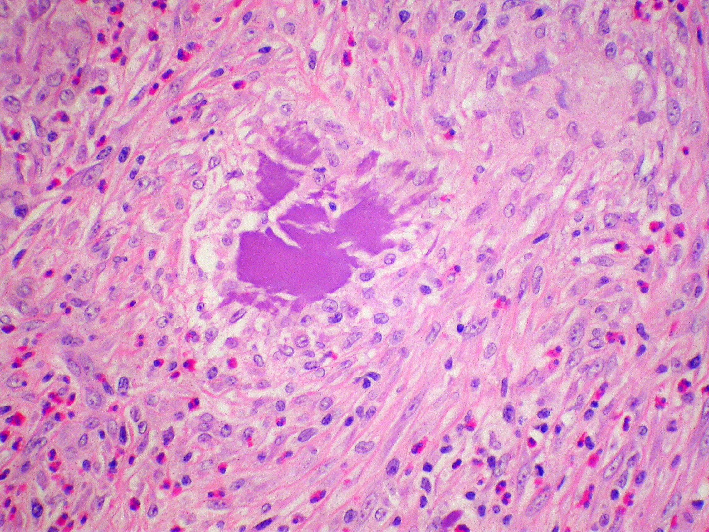
Клетка типа инородных тел