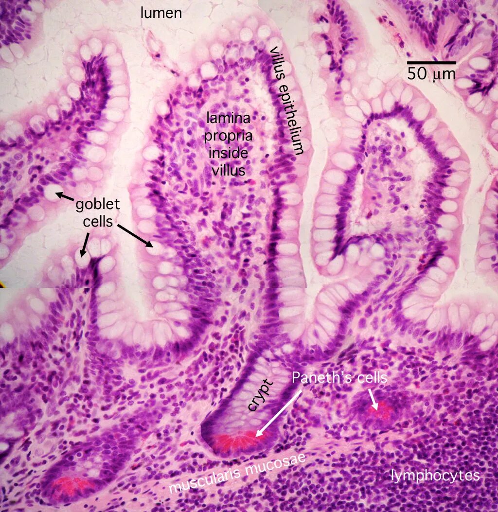
Кишка гистология