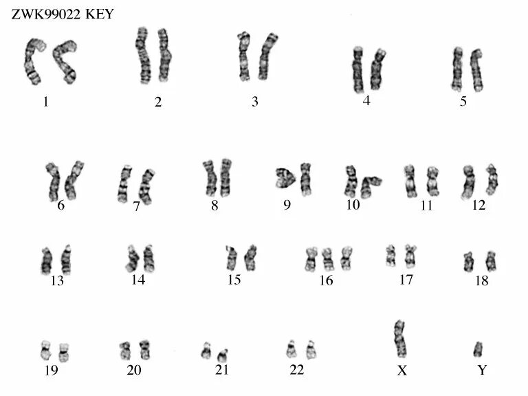
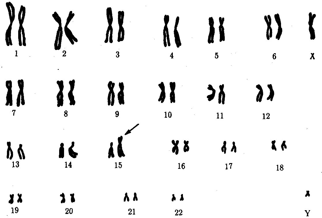
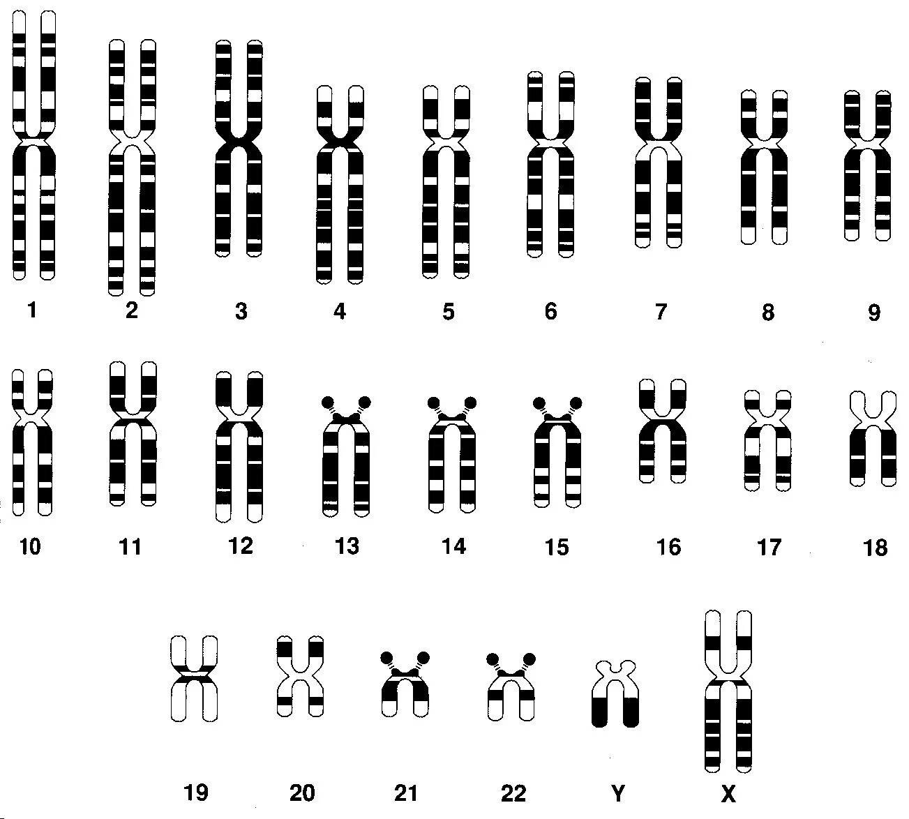
Кариотипы хромосомных