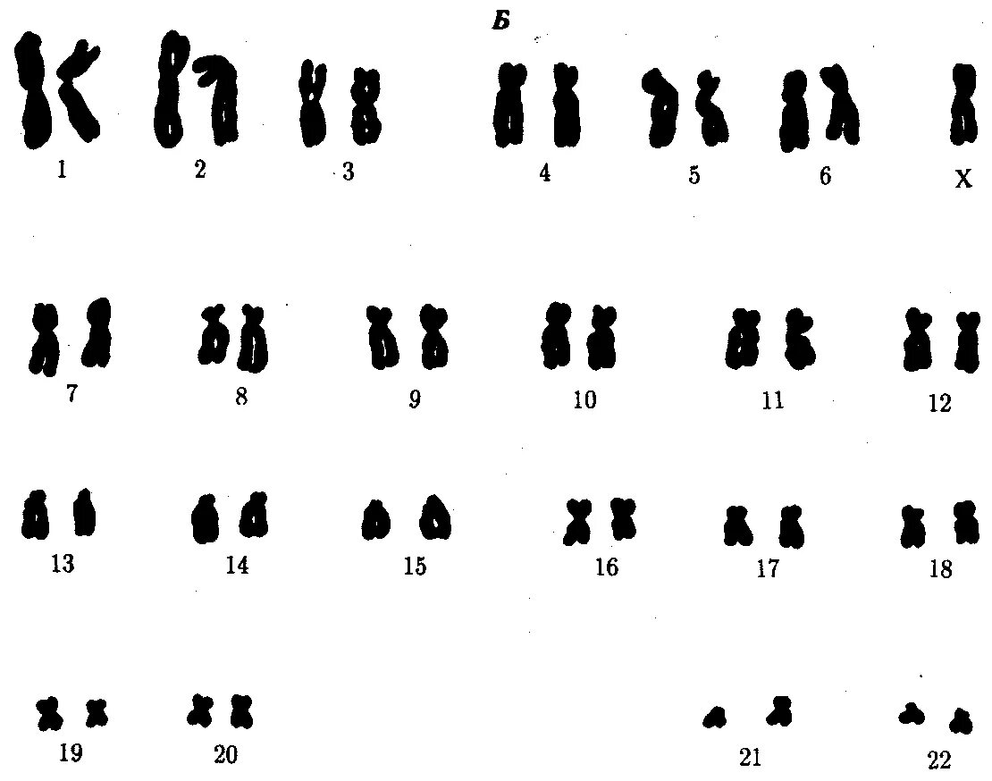
Кариотип девочки с синдромом шерешевского тернера