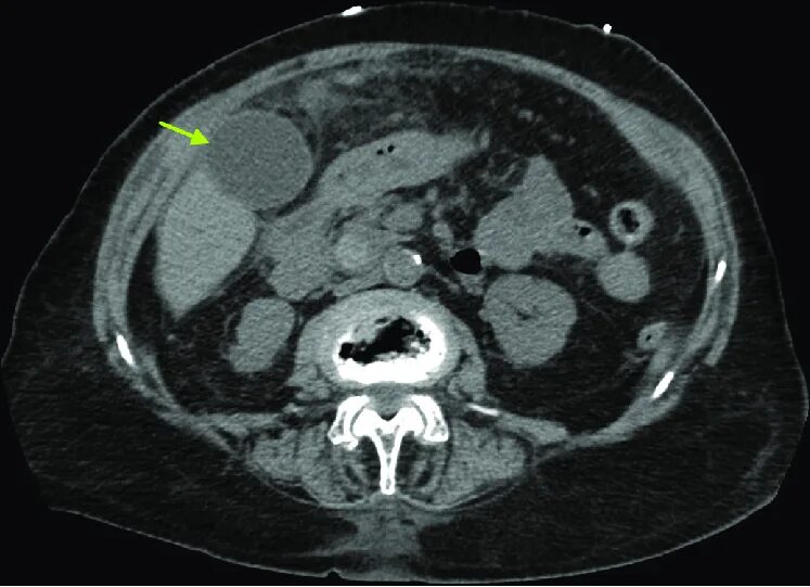
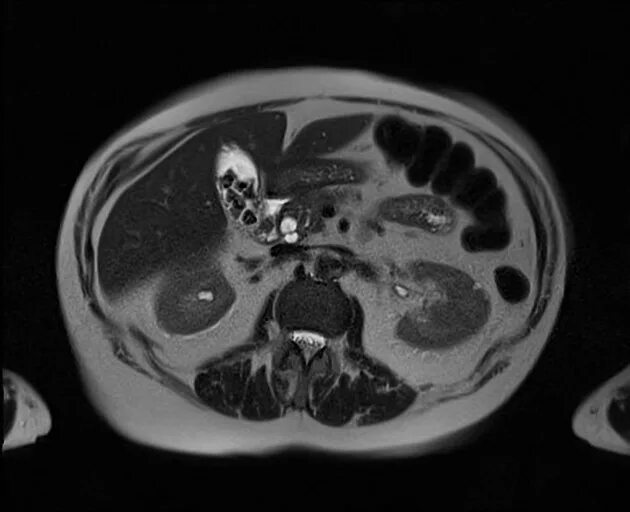
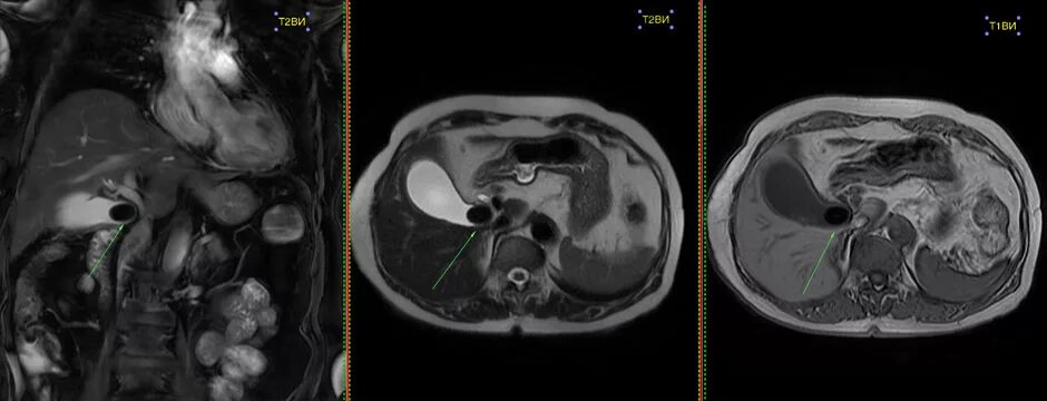
Камни в желчном мрт