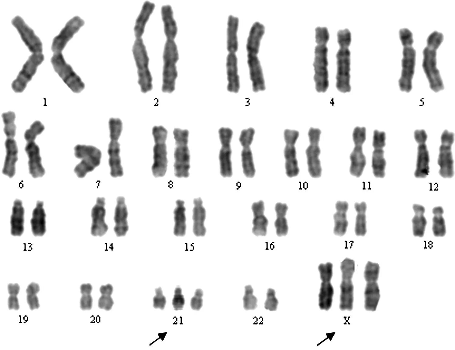
Какие хромосомы в зиготе