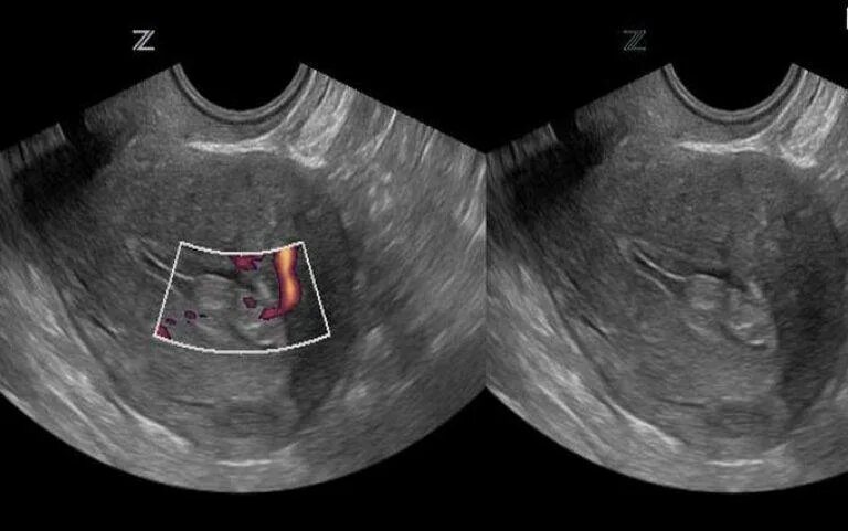
Как выглядят 2 матки