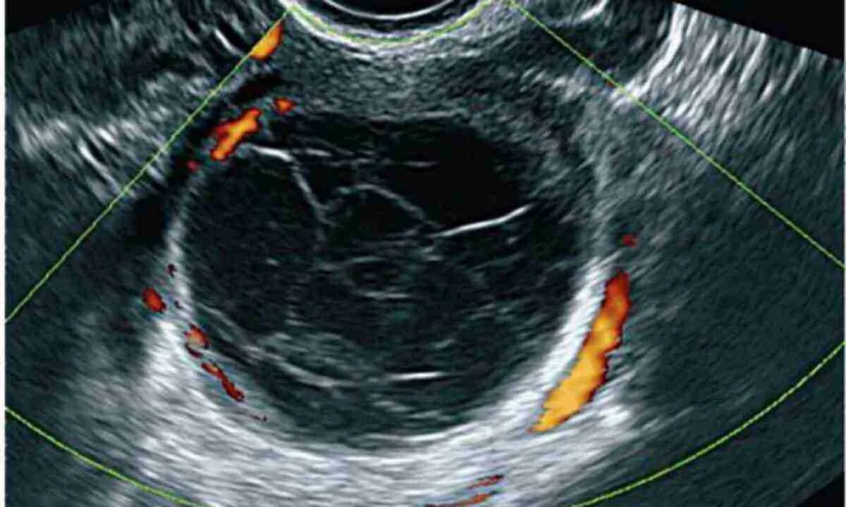
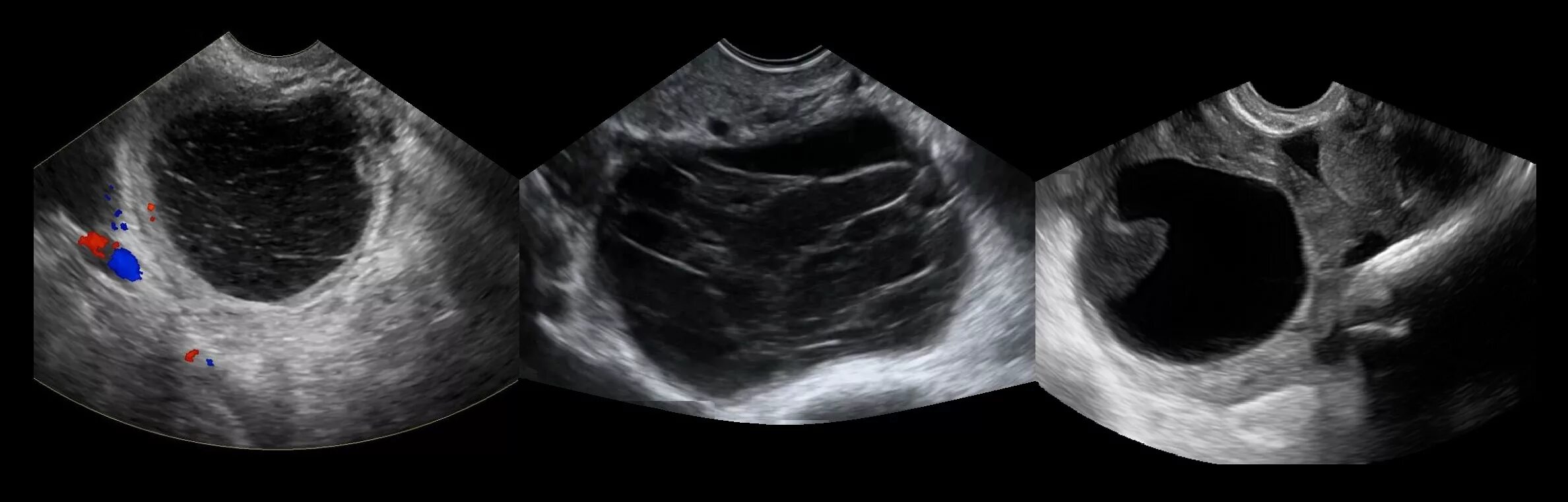
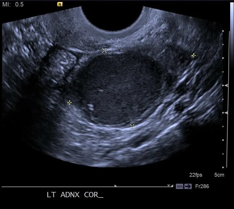
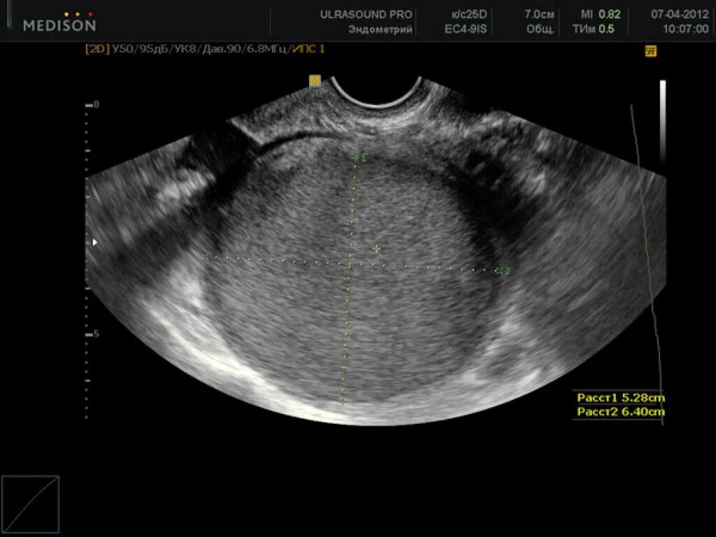
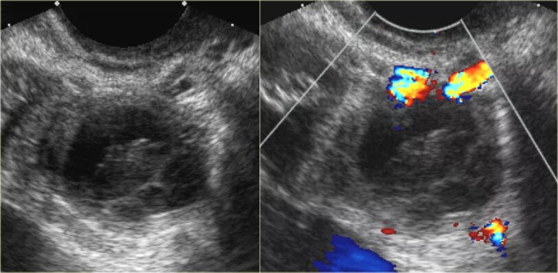
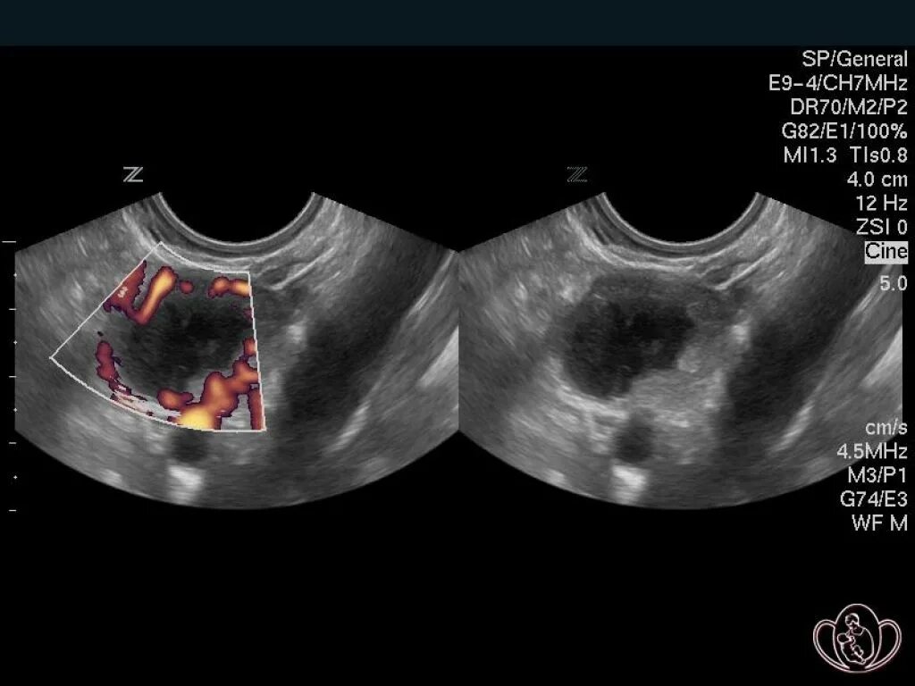
Как выглядит яичник