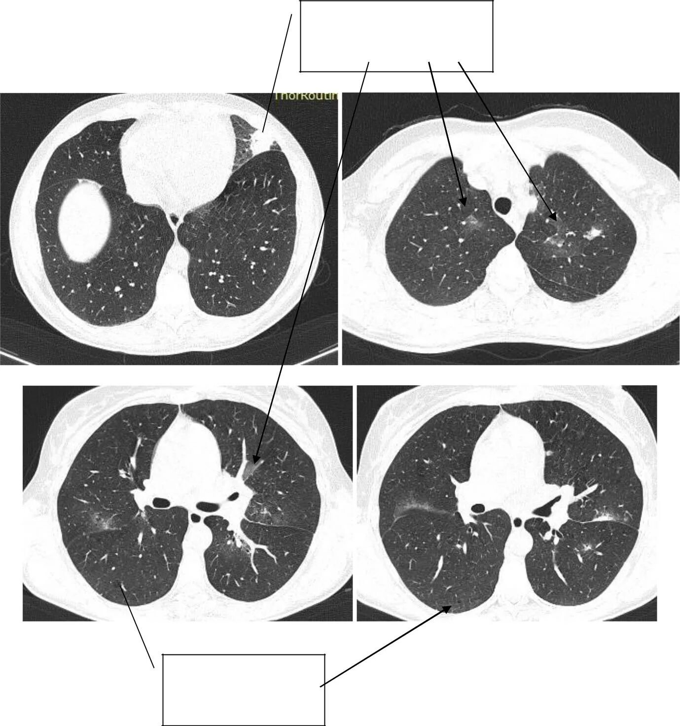
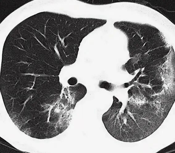
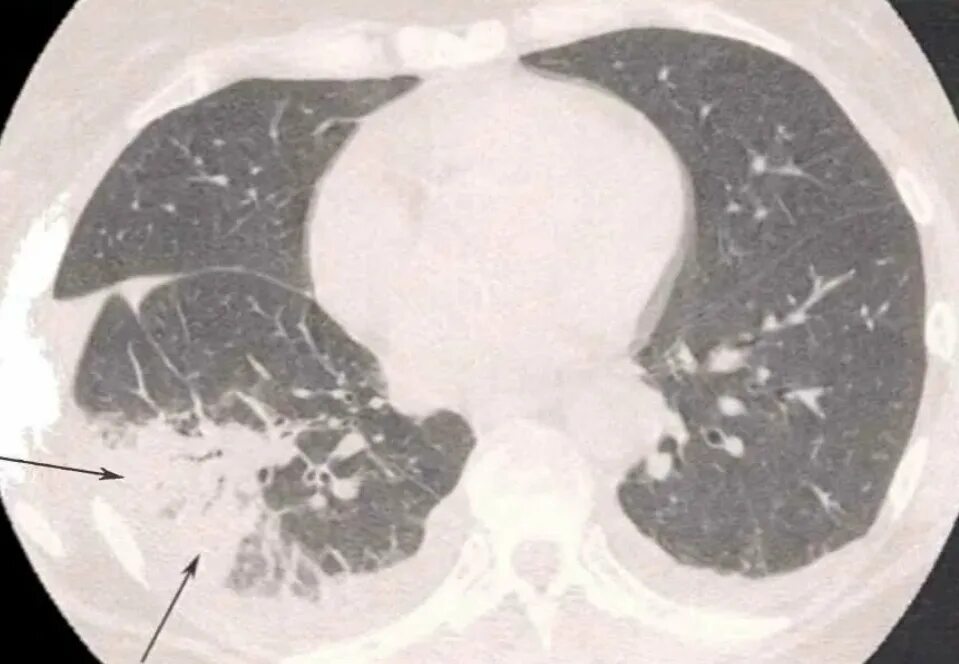
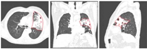
Как выглядит пневмония на кт