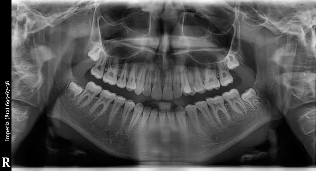
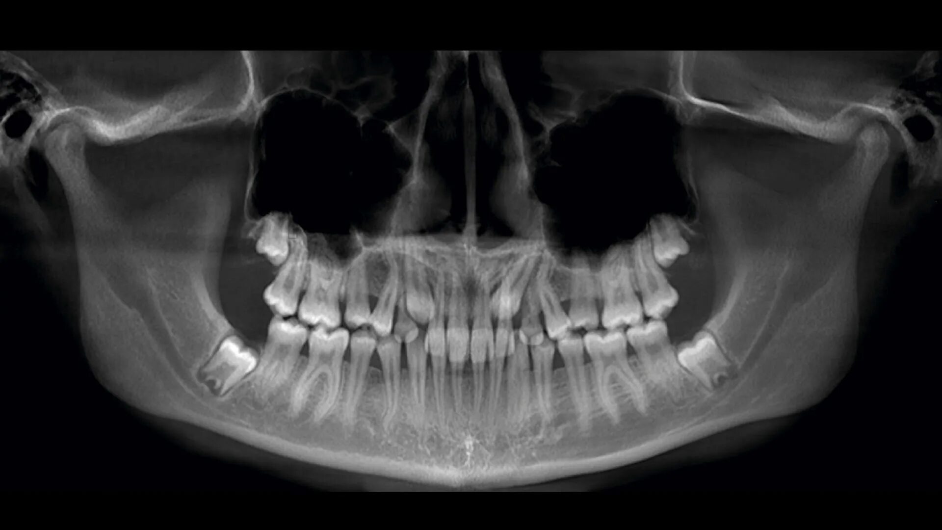
Как выглядит панорамный снимок