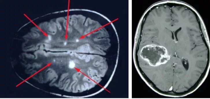
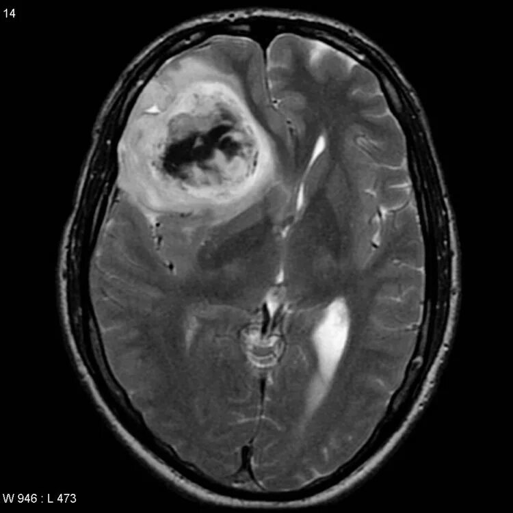
Как выглядит опухоль на снимках