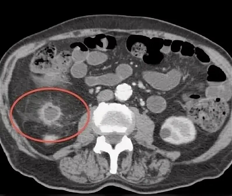
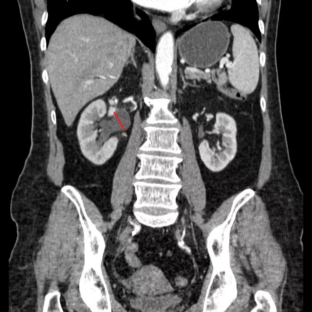
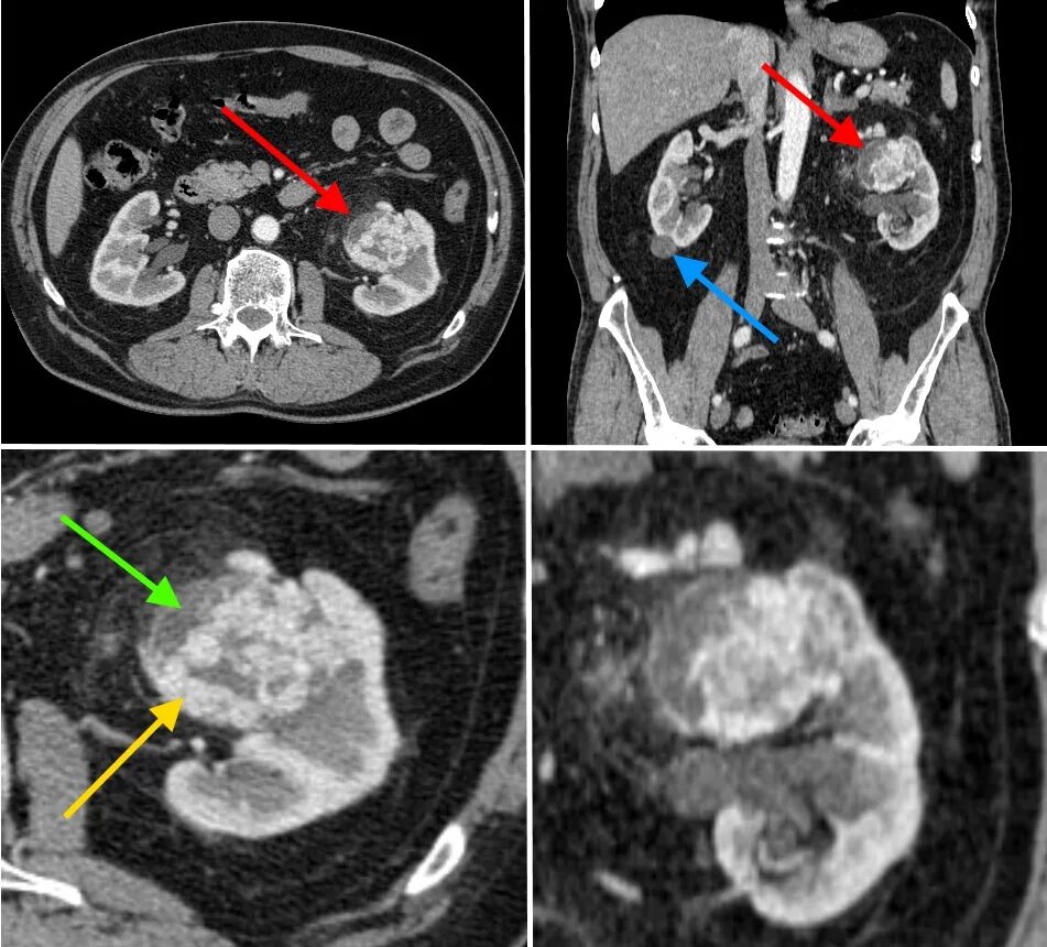
Как выглядит кт с контрастом