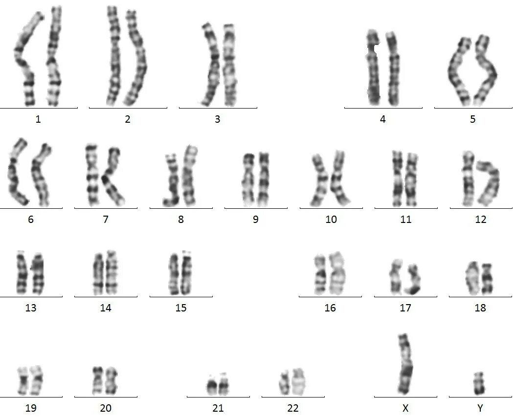
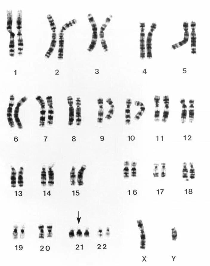
Как выглядит кариотип