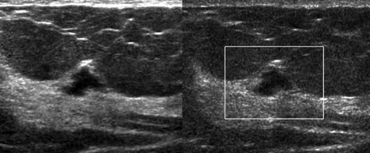
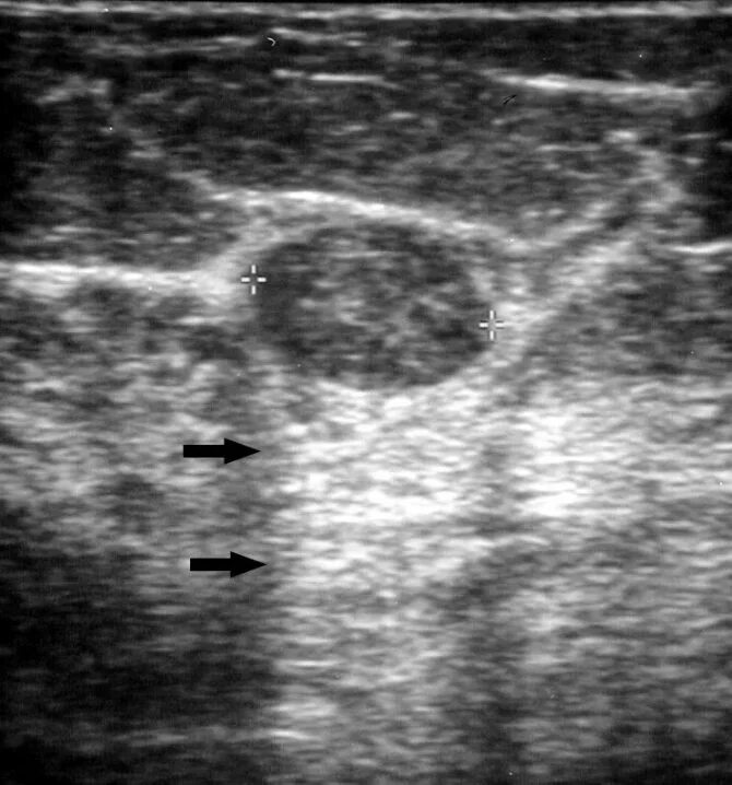
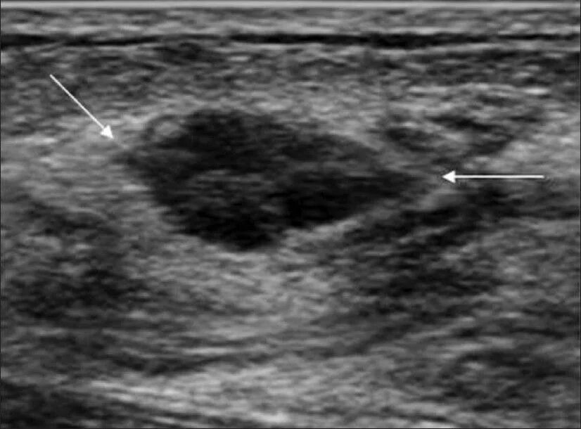
Как выглядит фиброаденома молочной железы