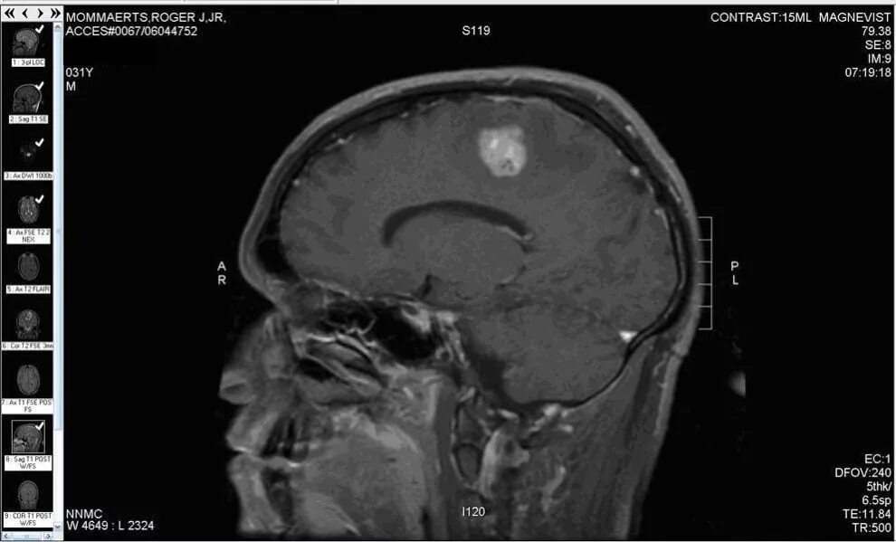
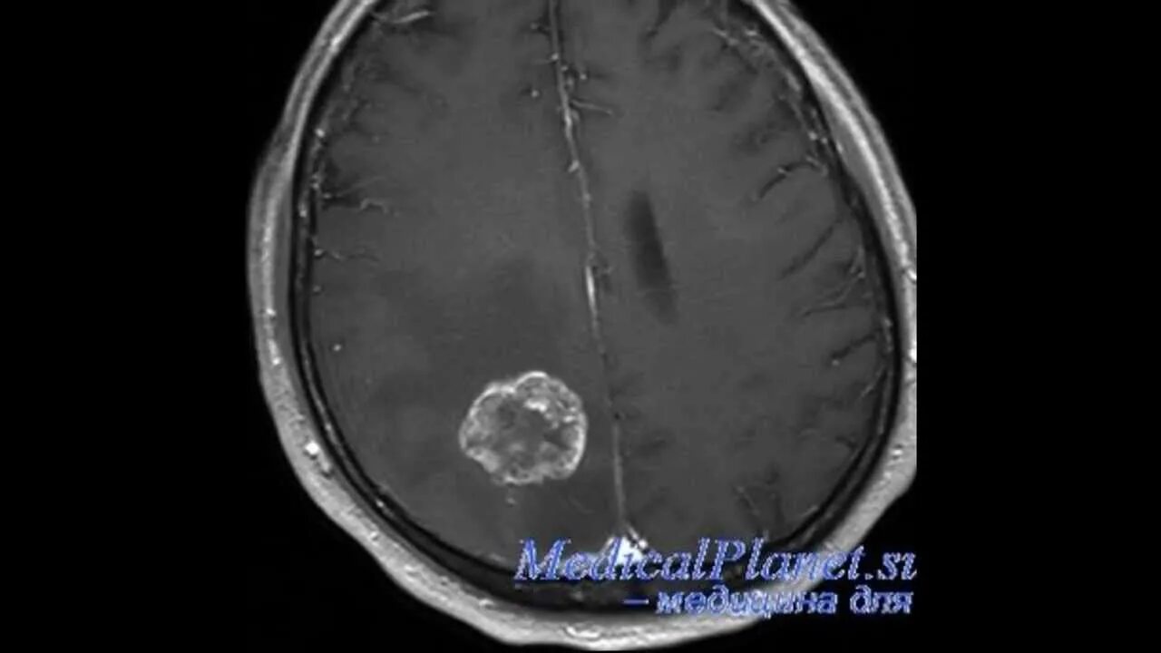
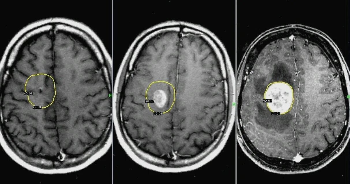
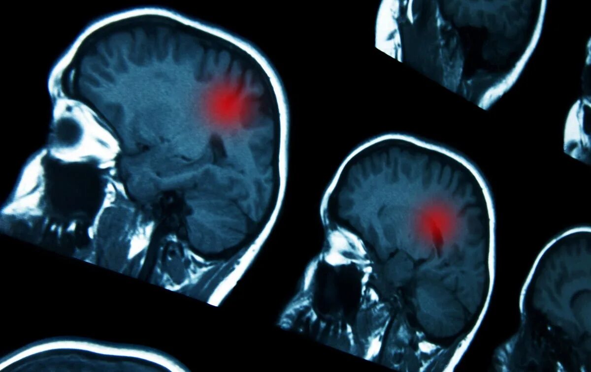
Как умирают от рака головного мозга