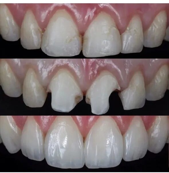
Как ставят керамику зубы