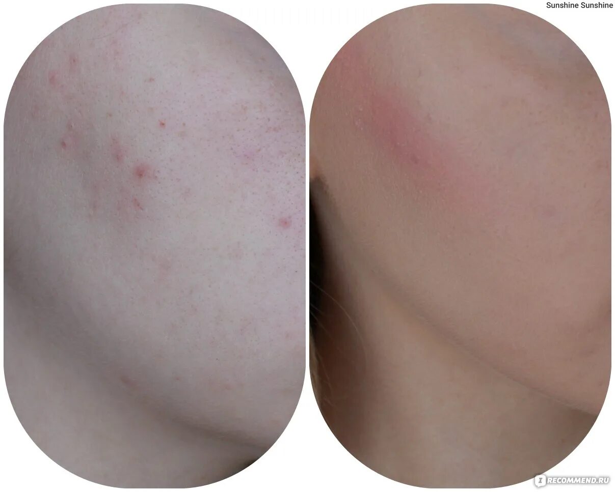
Как скрыть прыщ за 5 минут