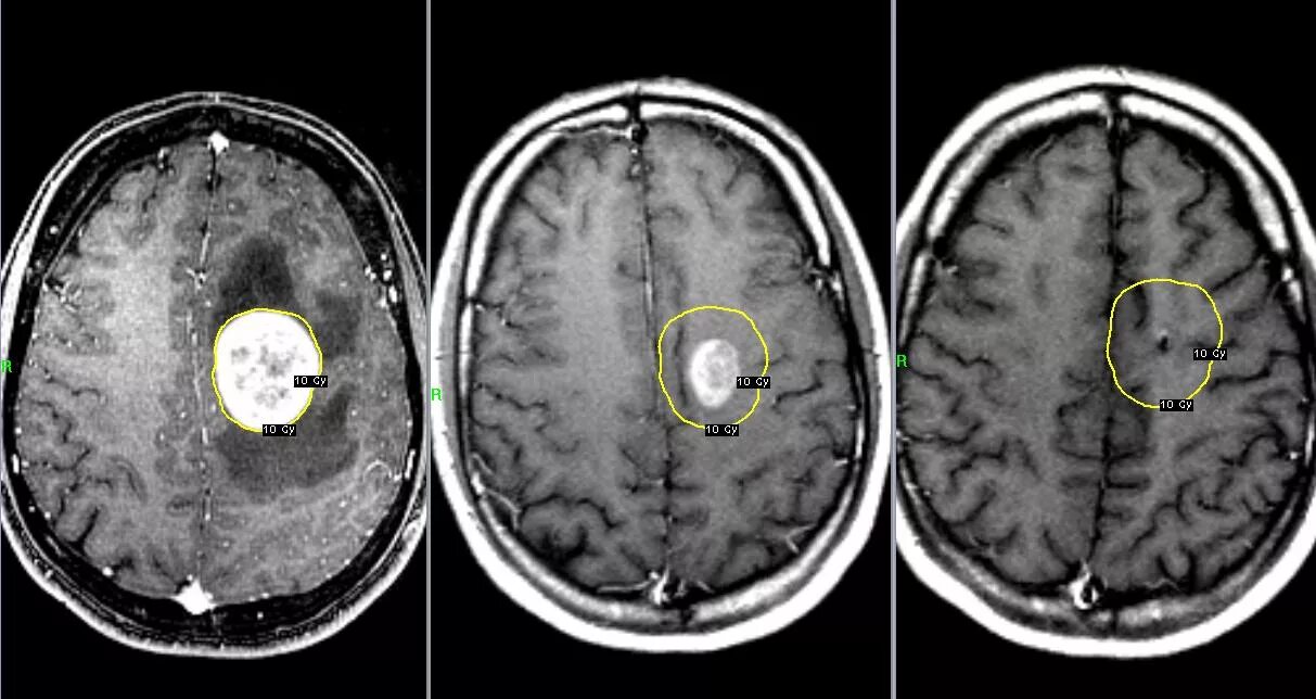
Как проявляется рак мозга