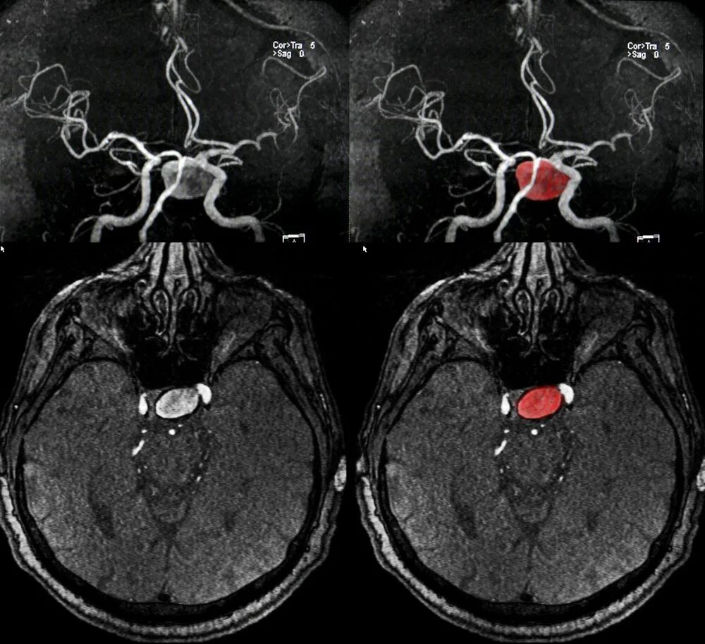
Как проявляется аневризма головного мозга