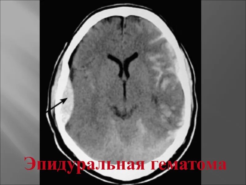
Как отличить гематому