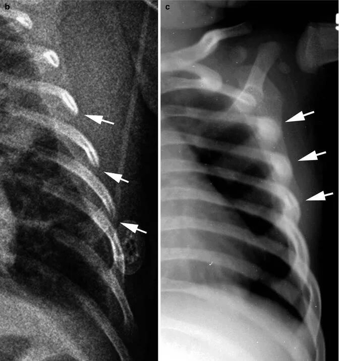
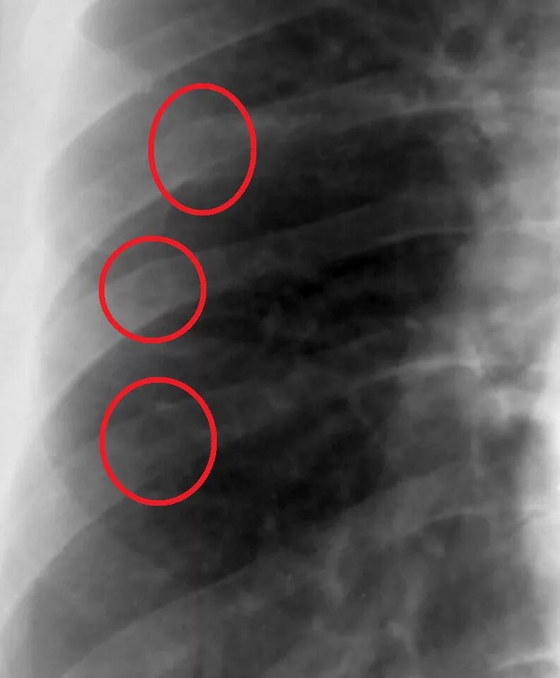
Как определить перелом ребра или ушиб