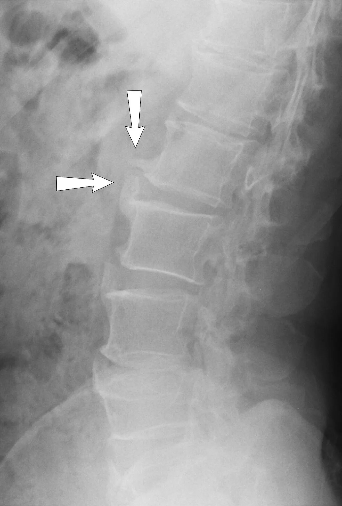
Как лечить спондилез поясничного отдела