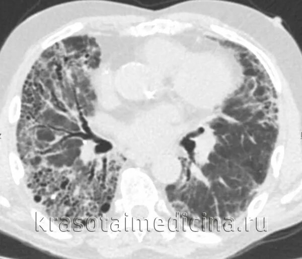
Как лечить пневмосклероз легких в пожилом возрасте