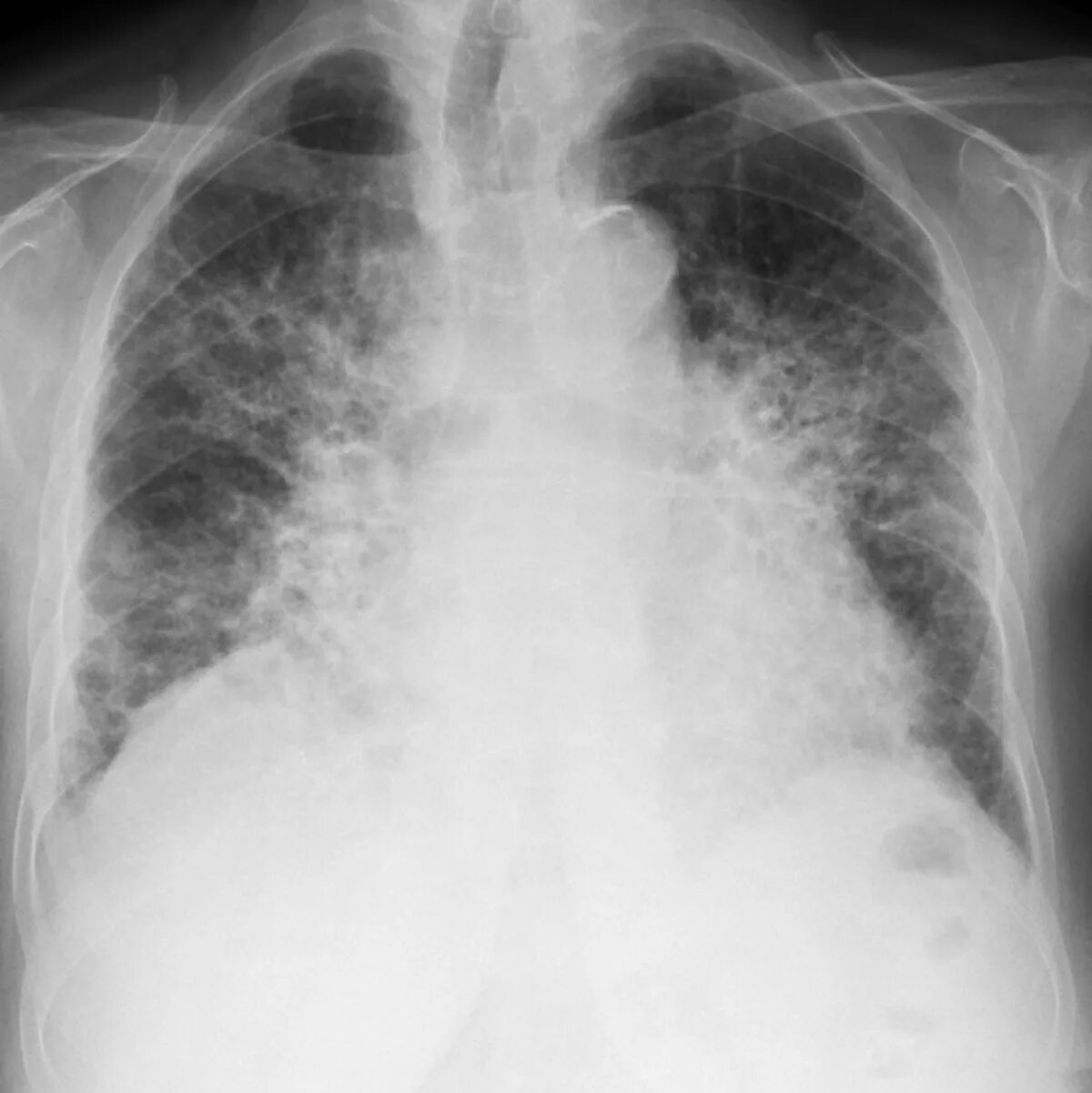
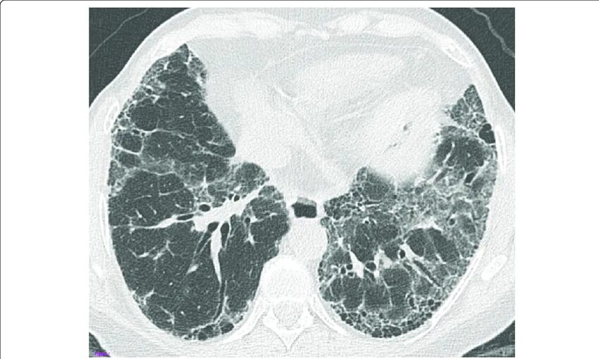
Как лечить пневмофиброз легких у взрослых