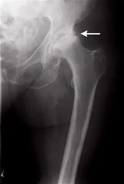
Как лечить коксартроз тазобедренного сустава 1