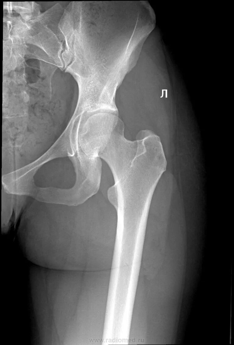
Как лечить коксартроз 1