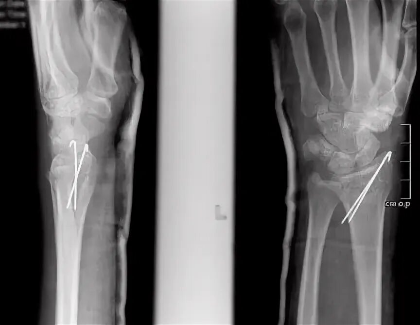
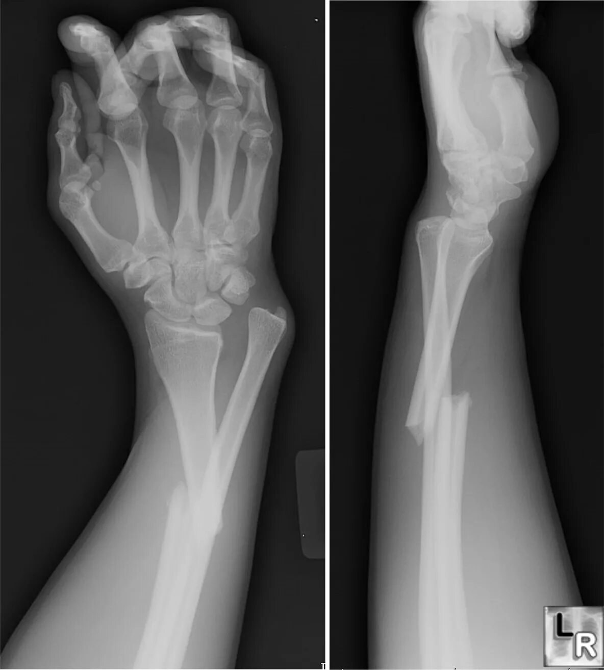
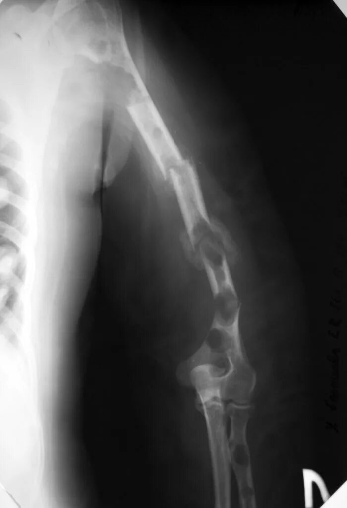
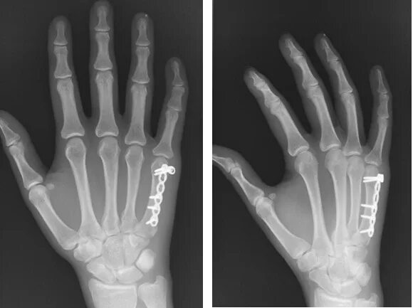
Как долго срастается перелом руки