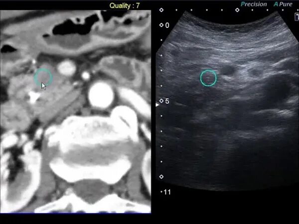
Как делают биопсию поджелудочной