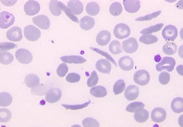
Изучение эритроцитов с серповидно клеточной анемией метод