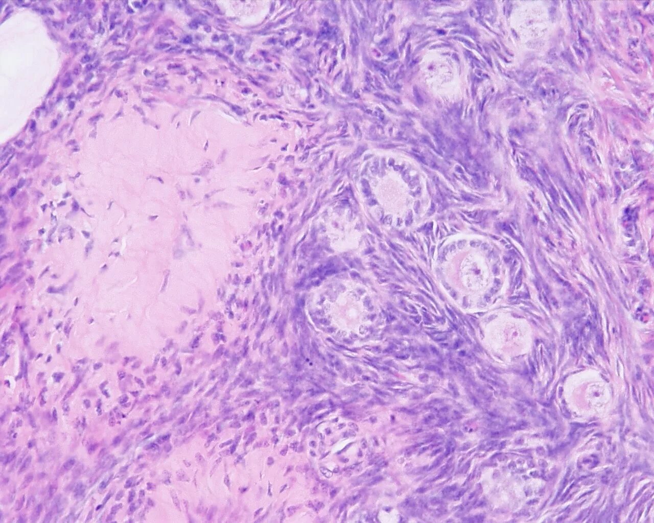
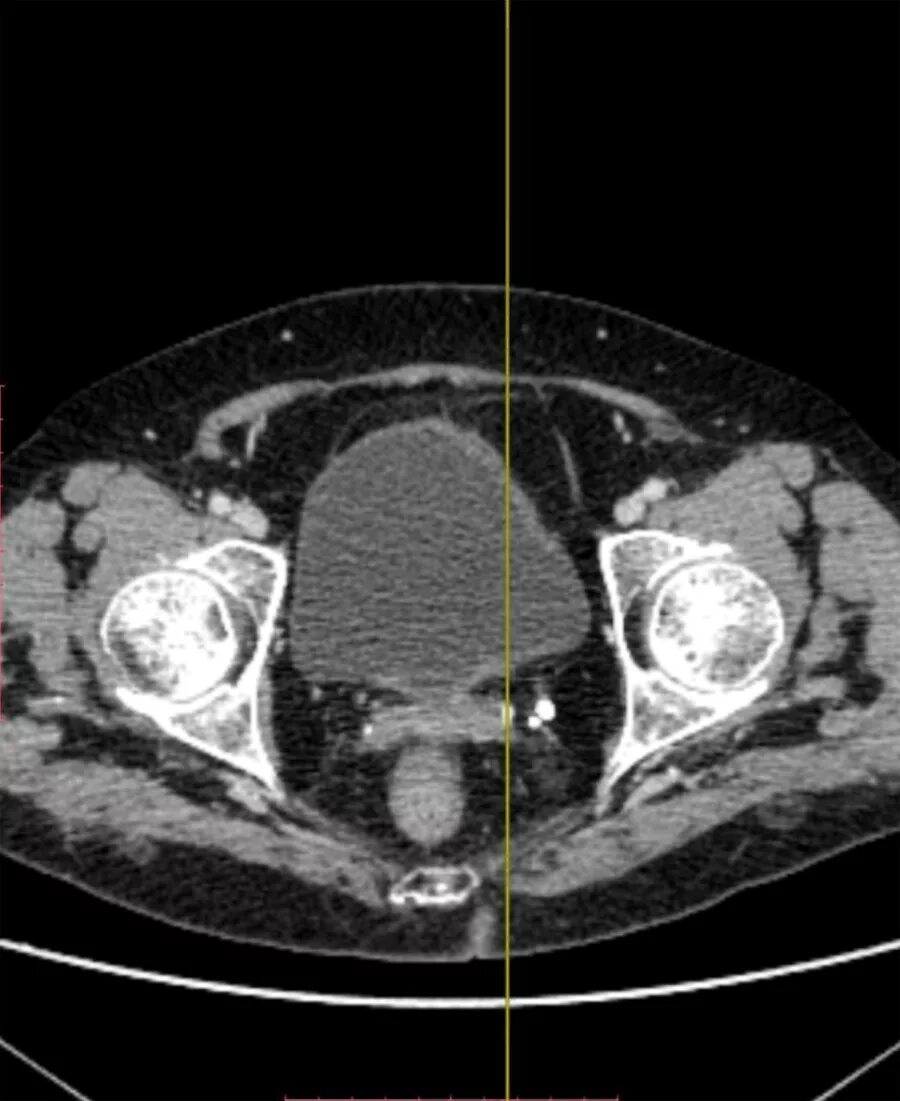
Инволютивные изменения яичников