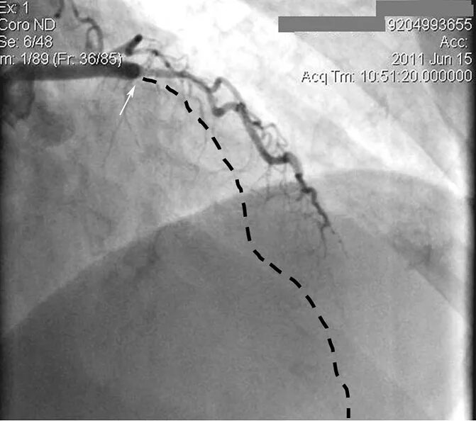
Инфаркт после операции шунтирования