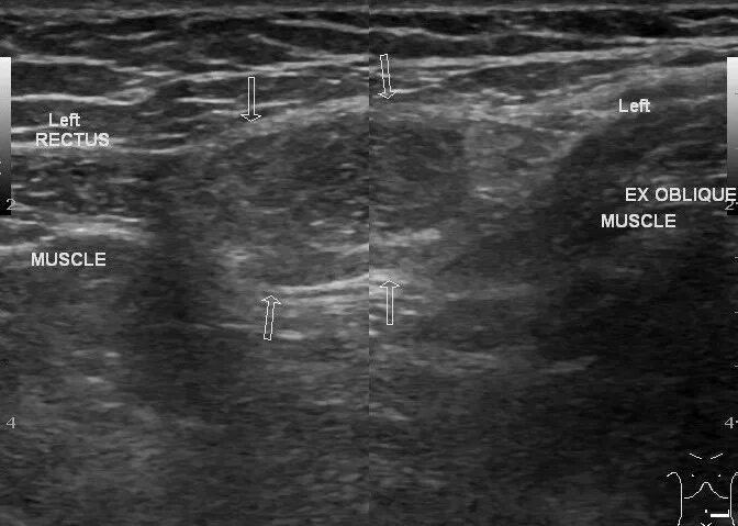
Грыжа спигелиевой линии