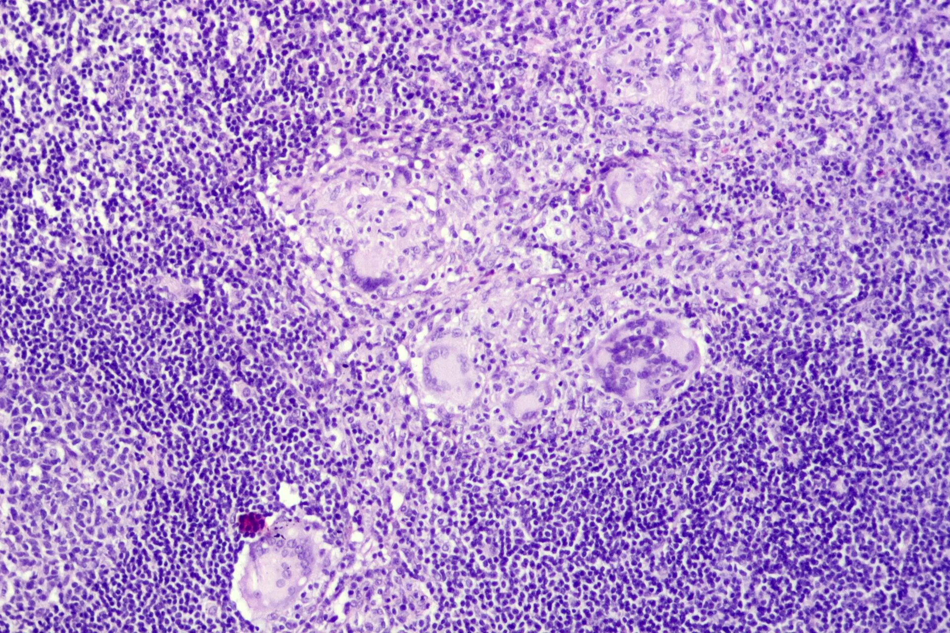
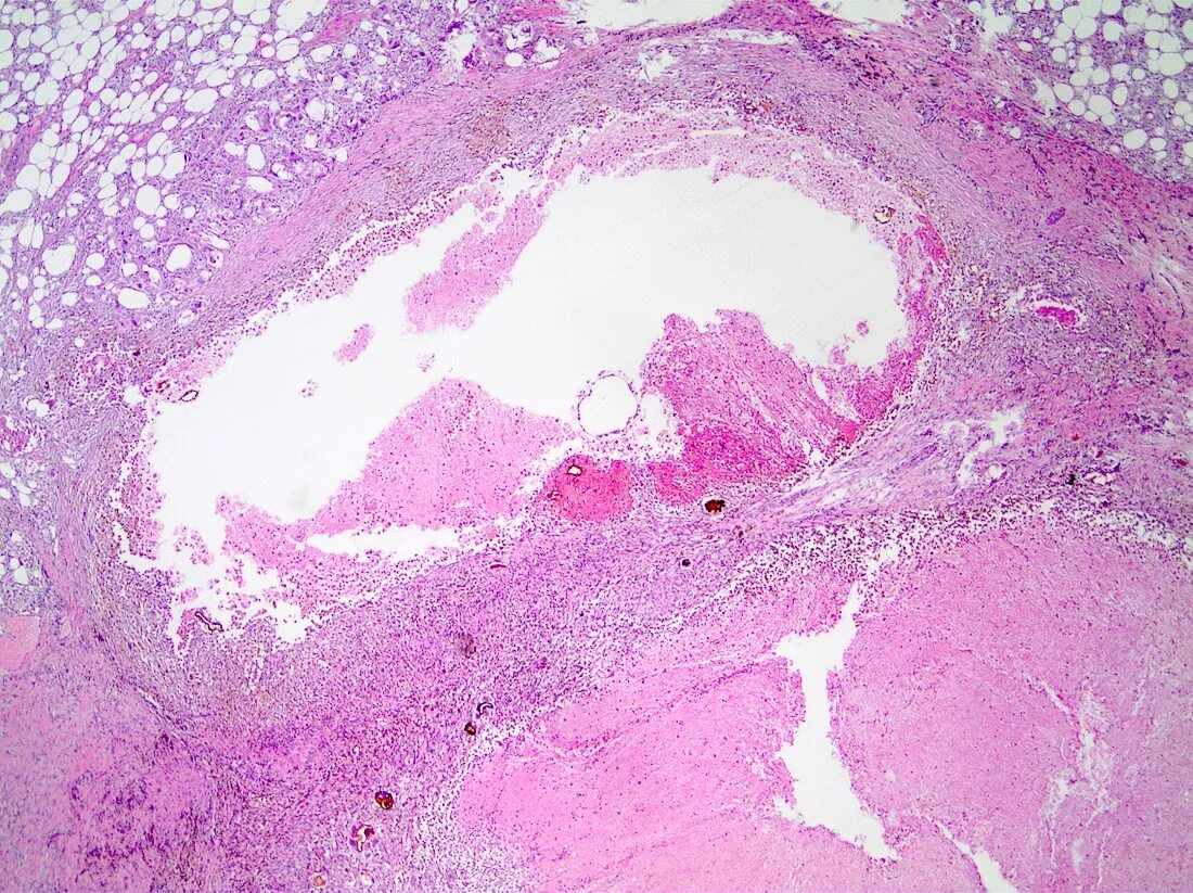
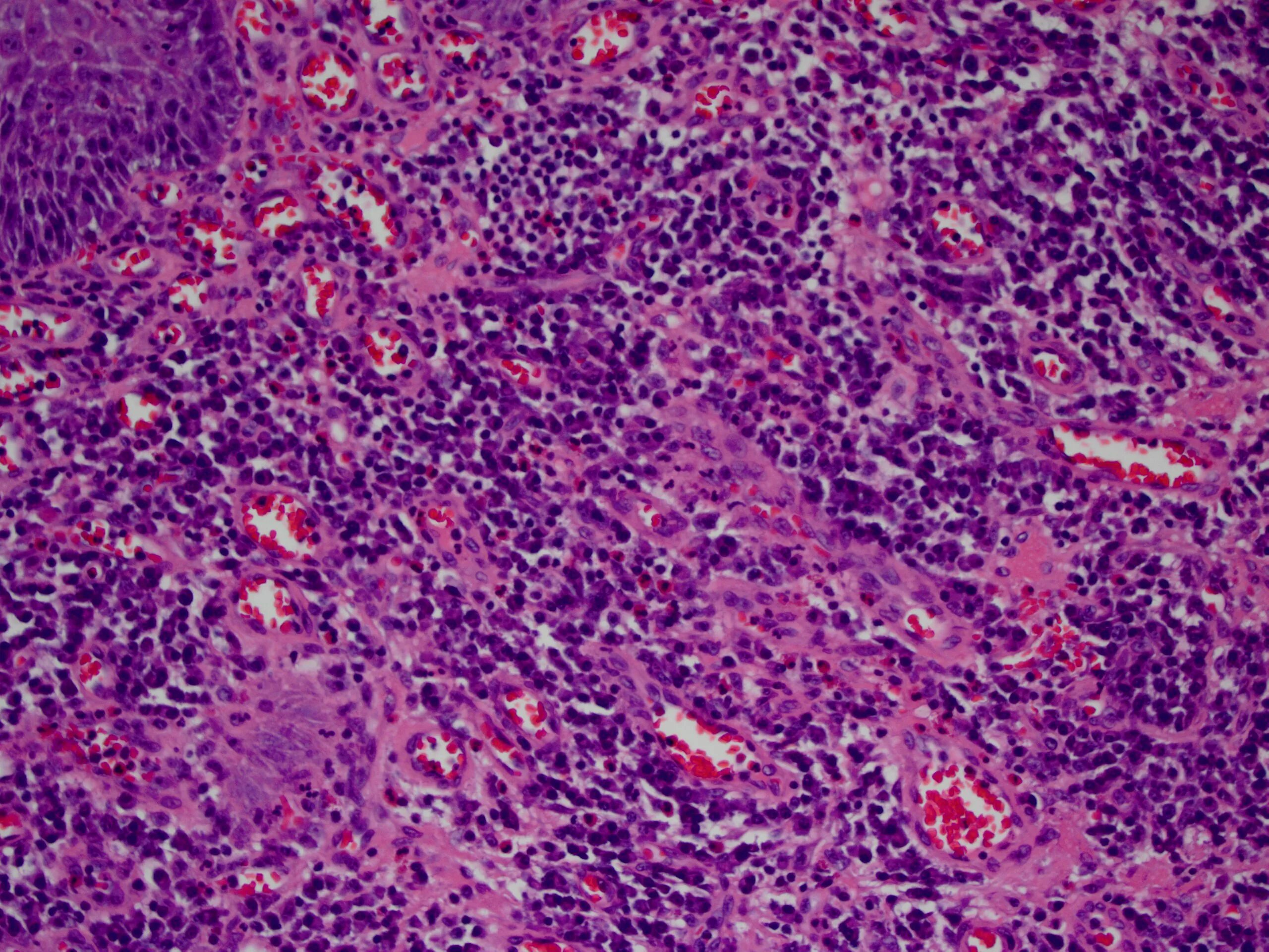
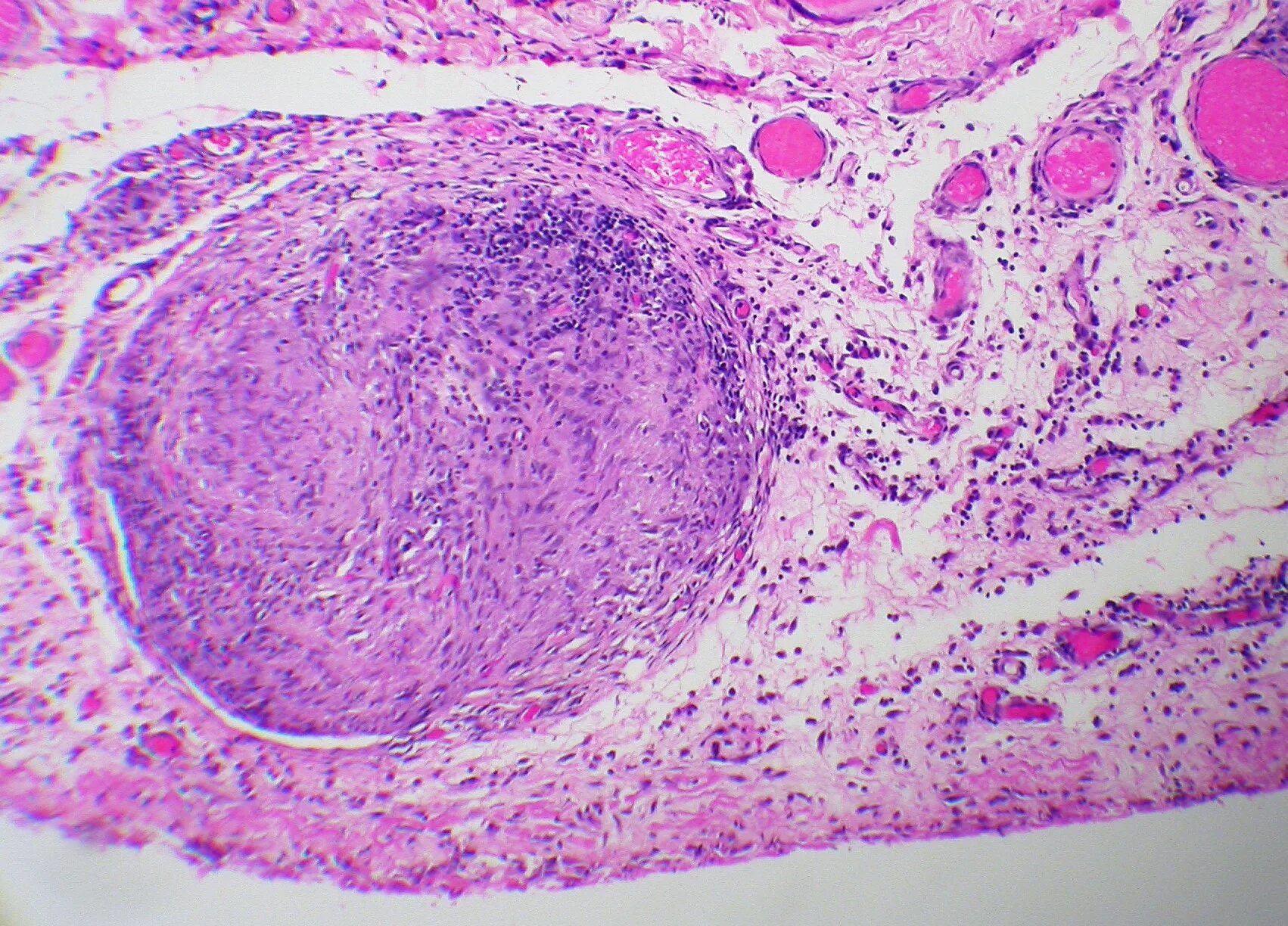
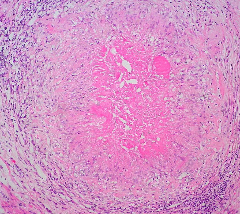
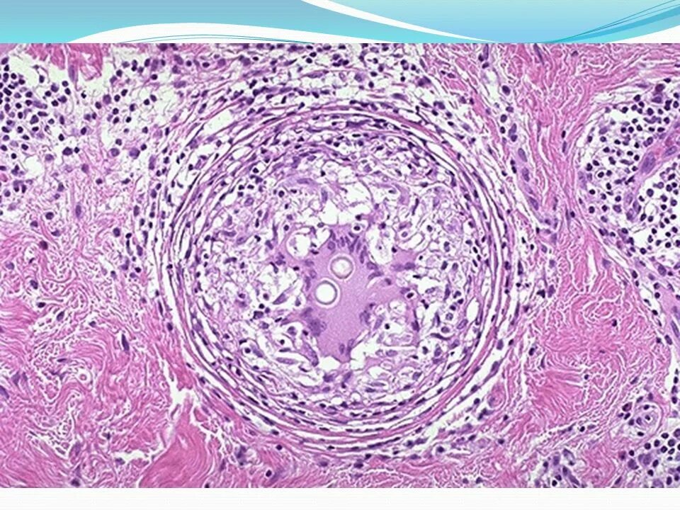
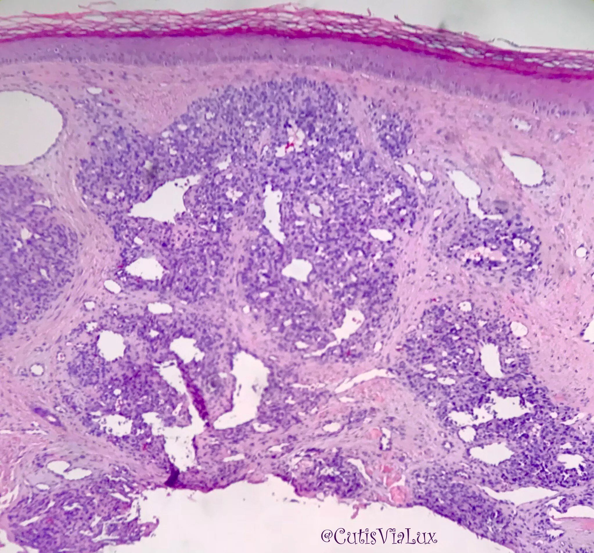
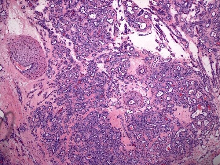
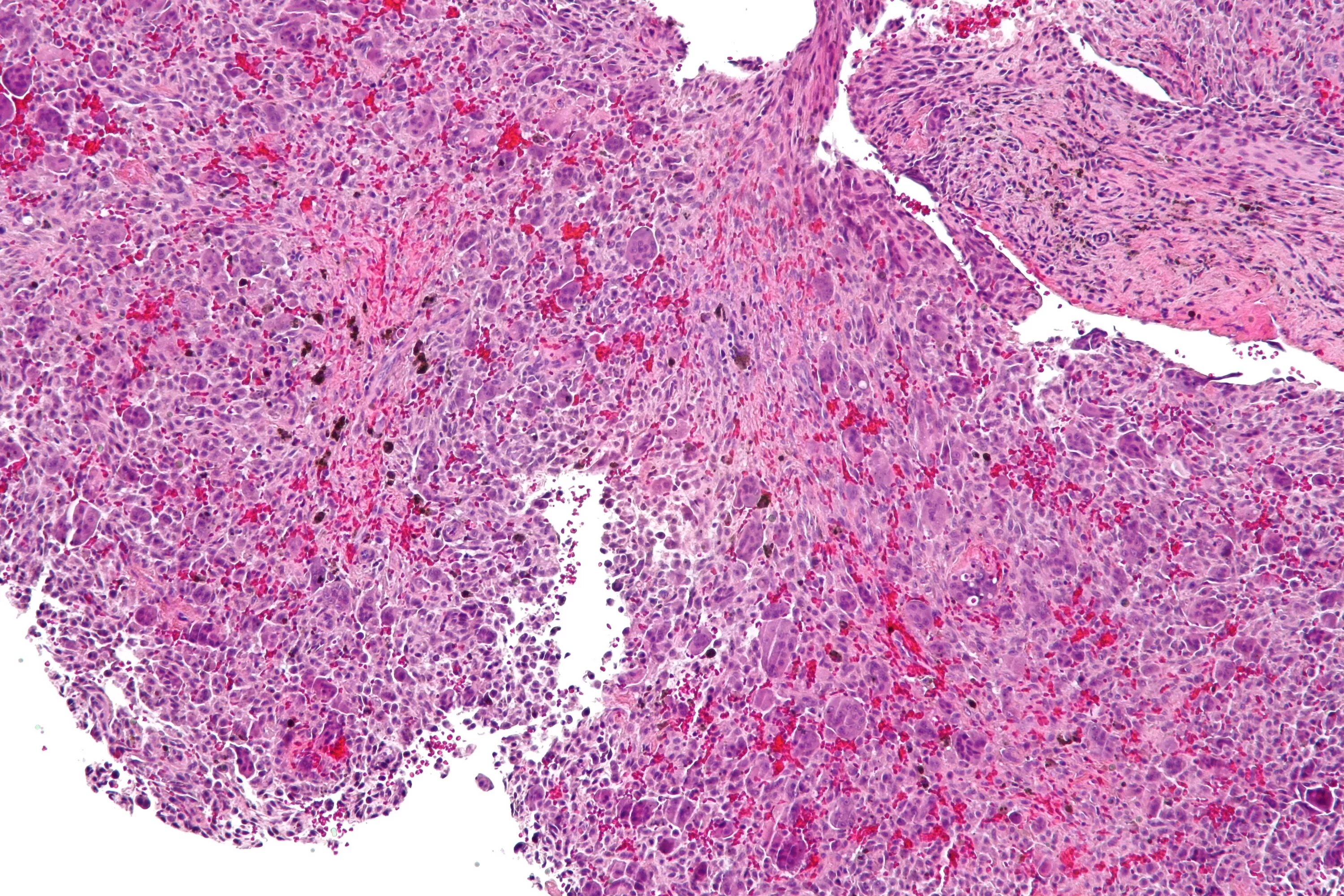
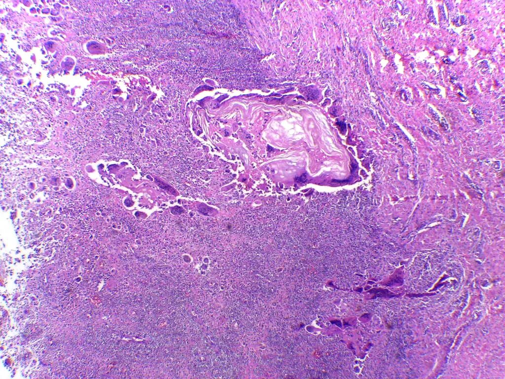
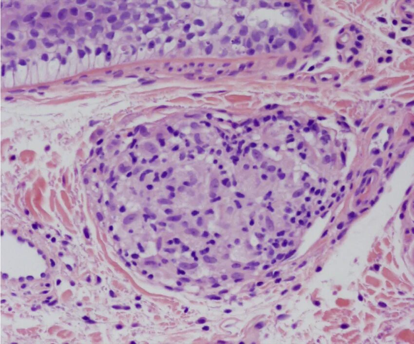
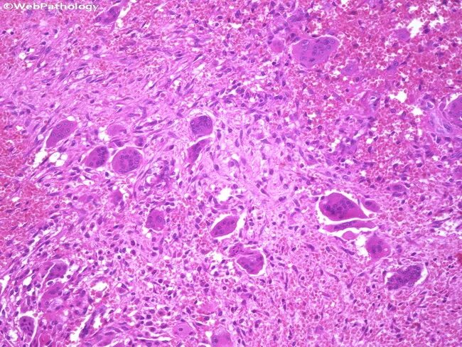
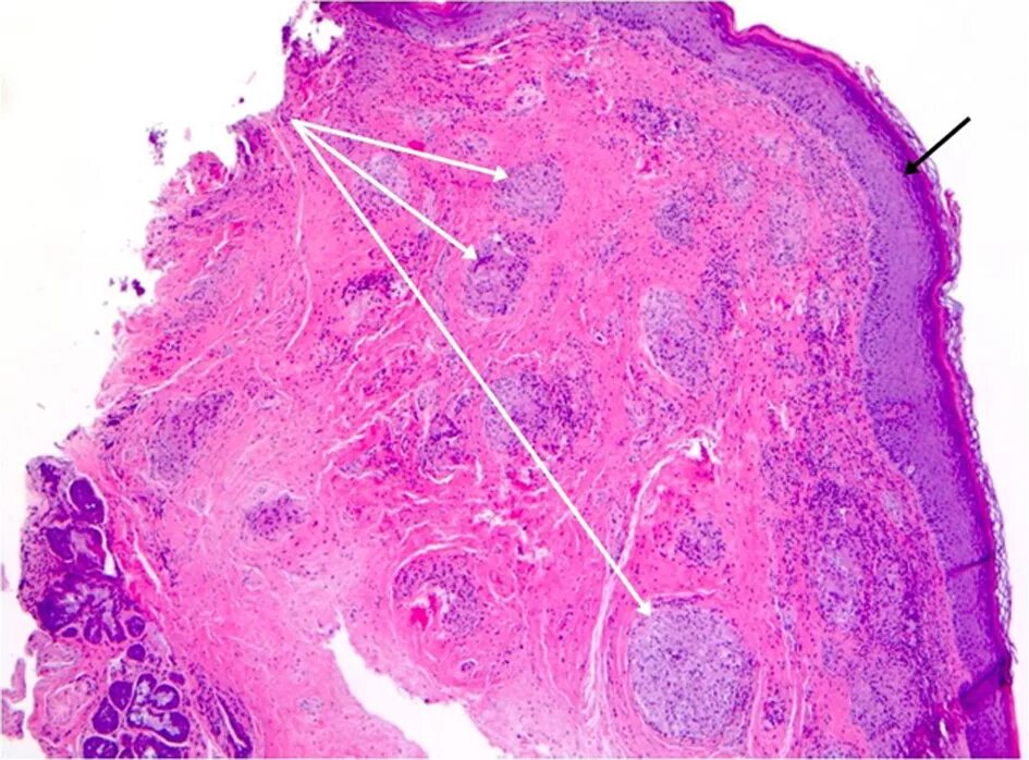
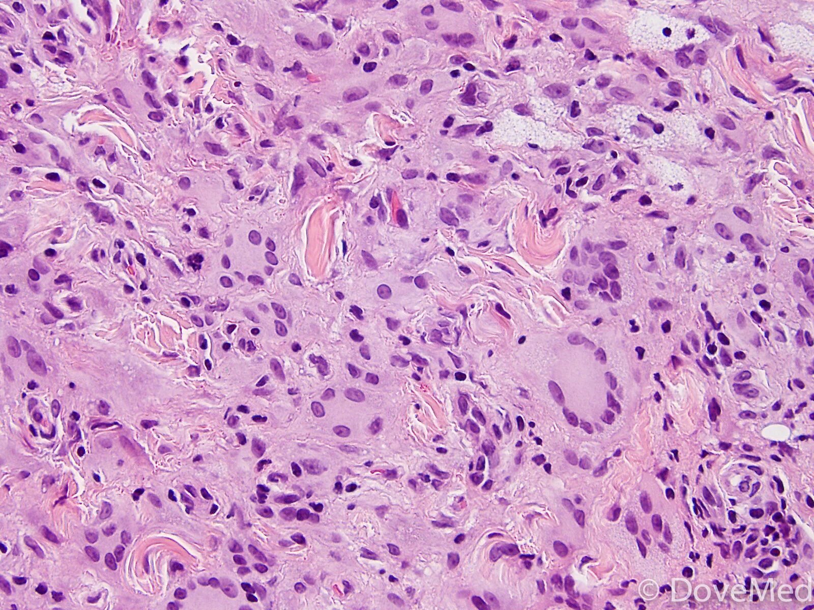
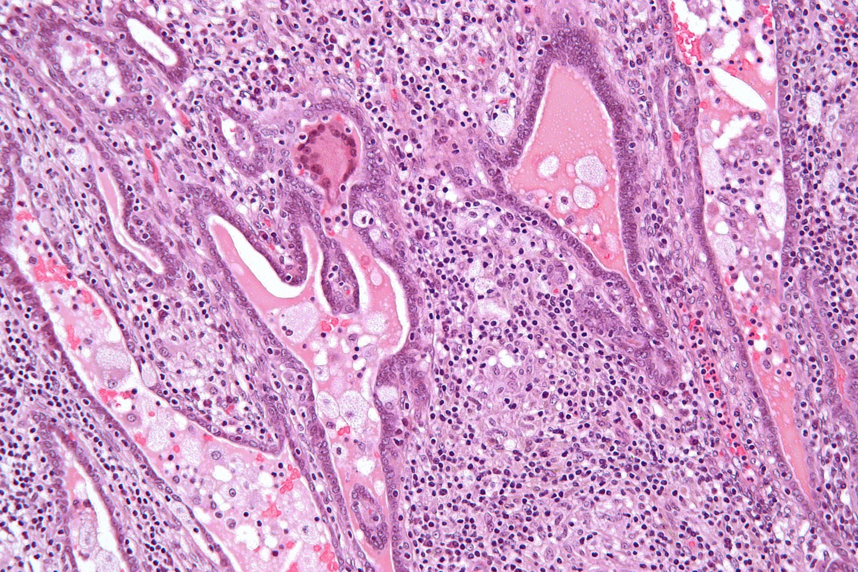
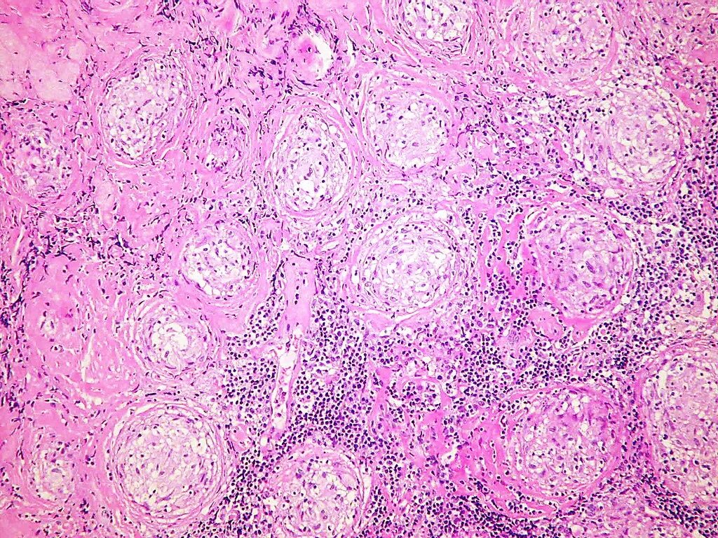
Гранулема гистология