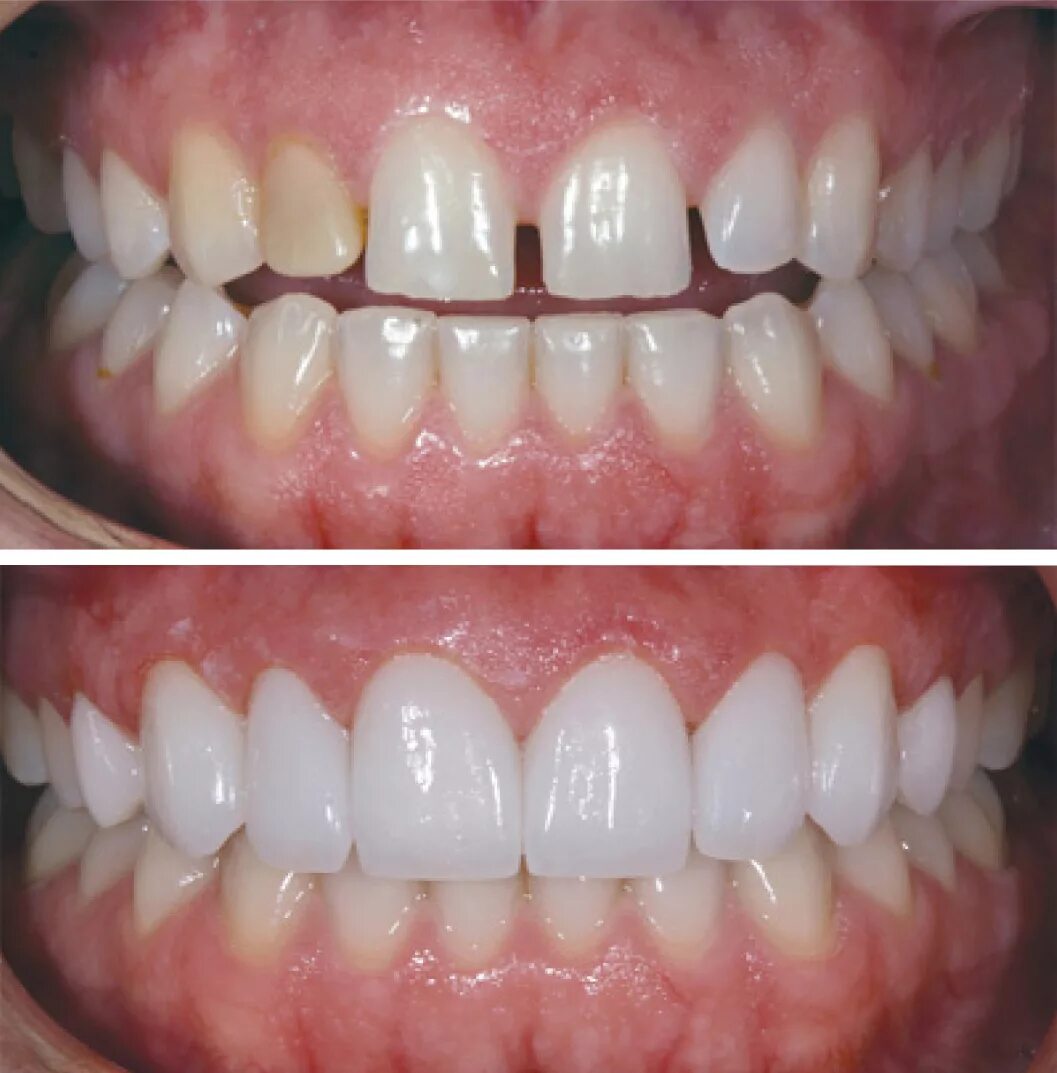
Готовы зубы