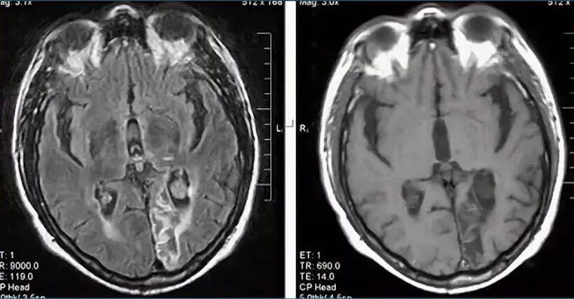
Глиозные изменения головного мозга на мрт