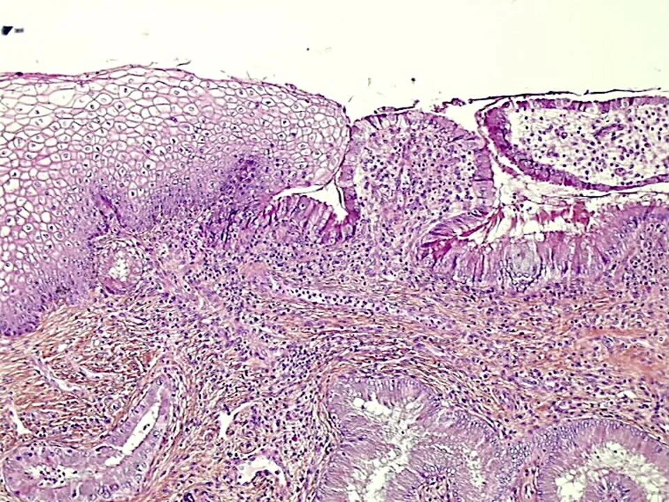
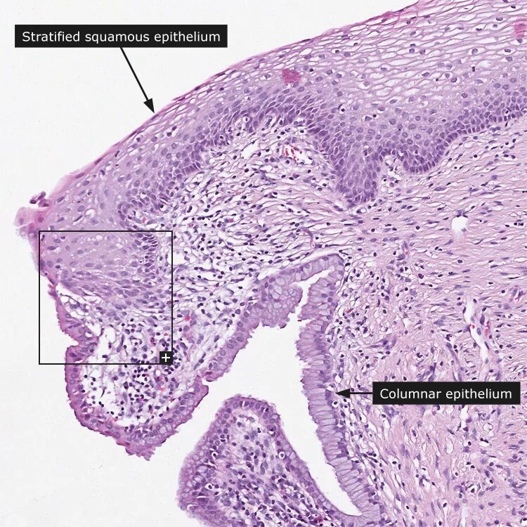
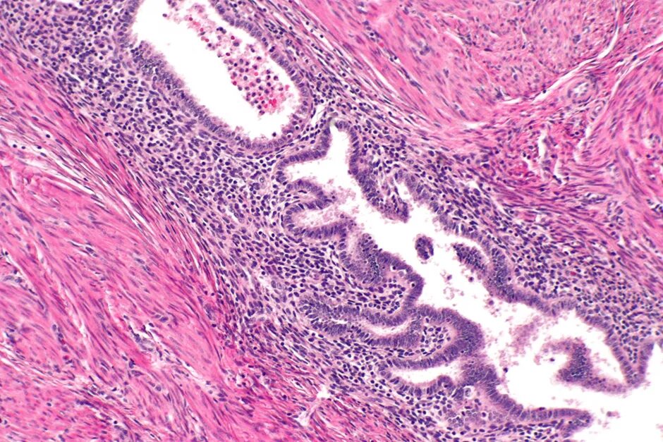
Гистология удаленной матки