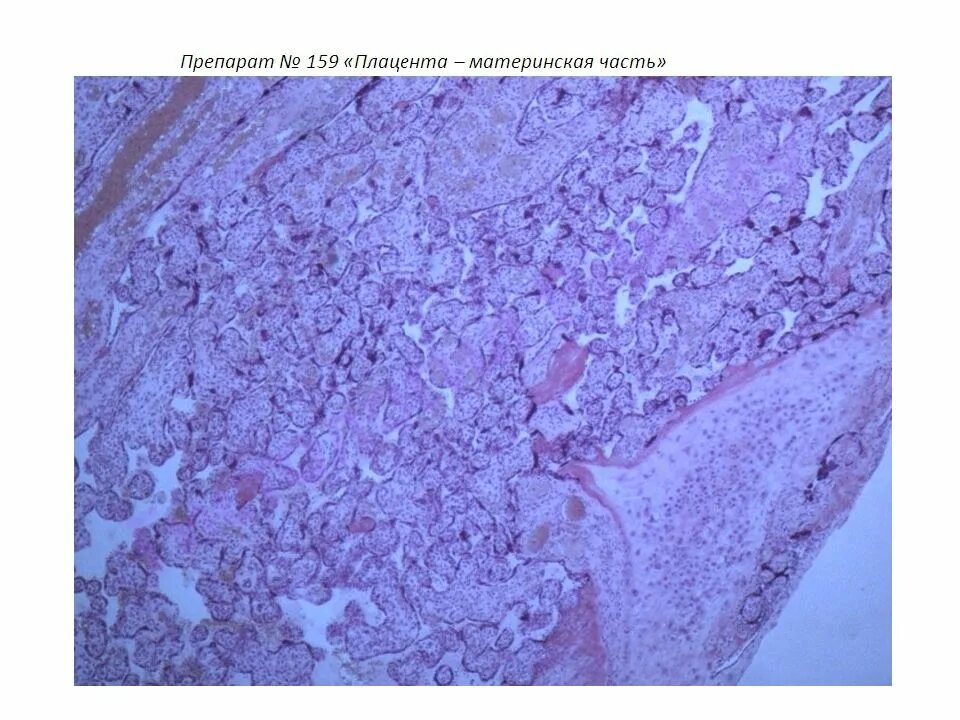
Гистология самара