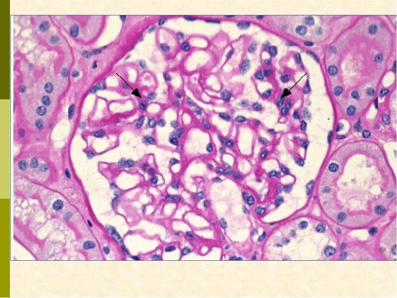
Гистология почки