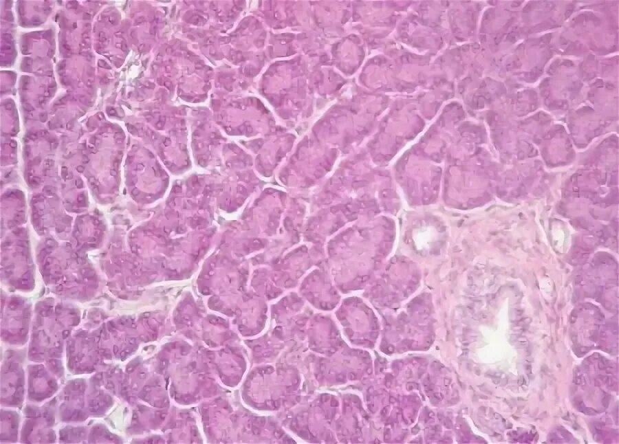
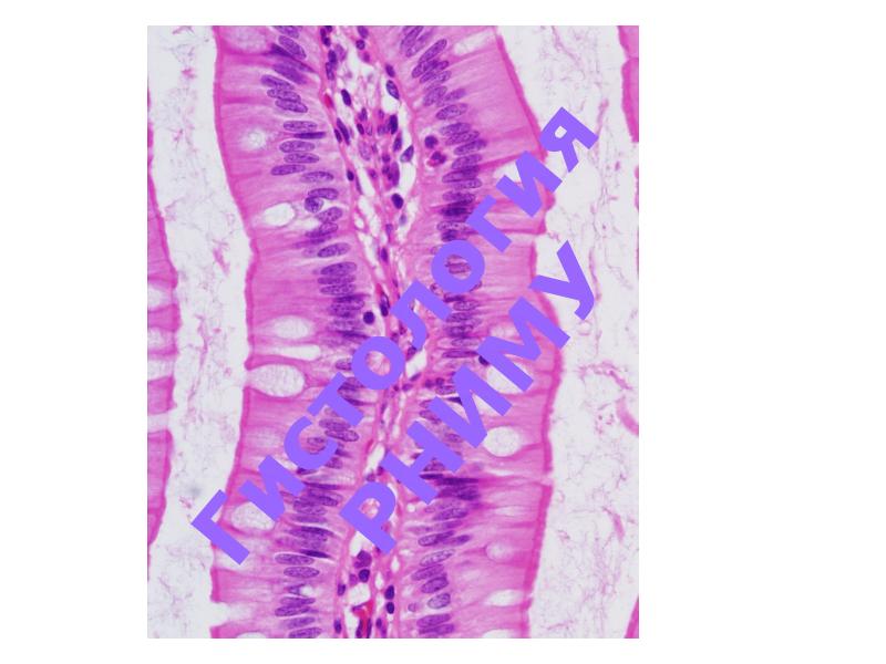
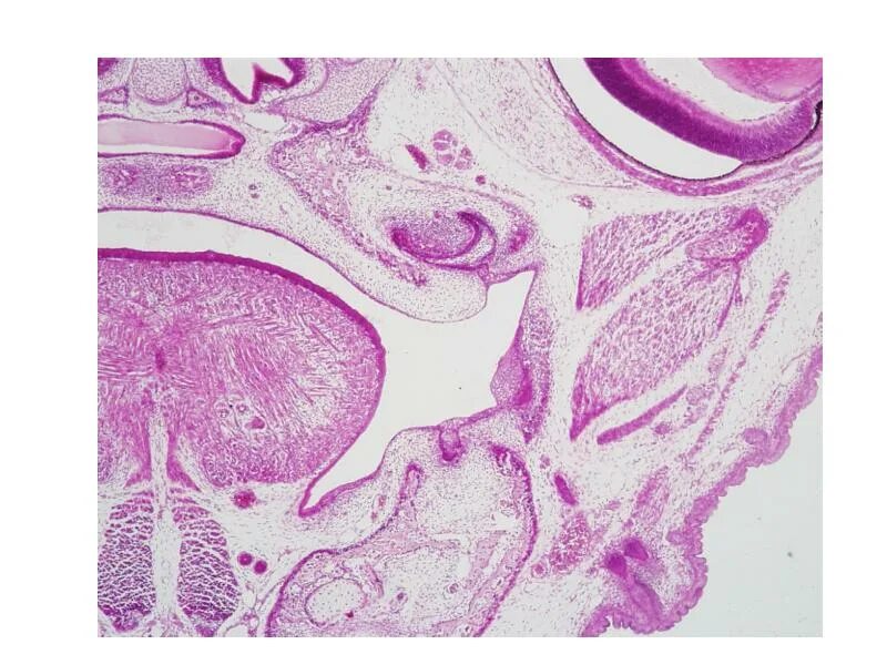
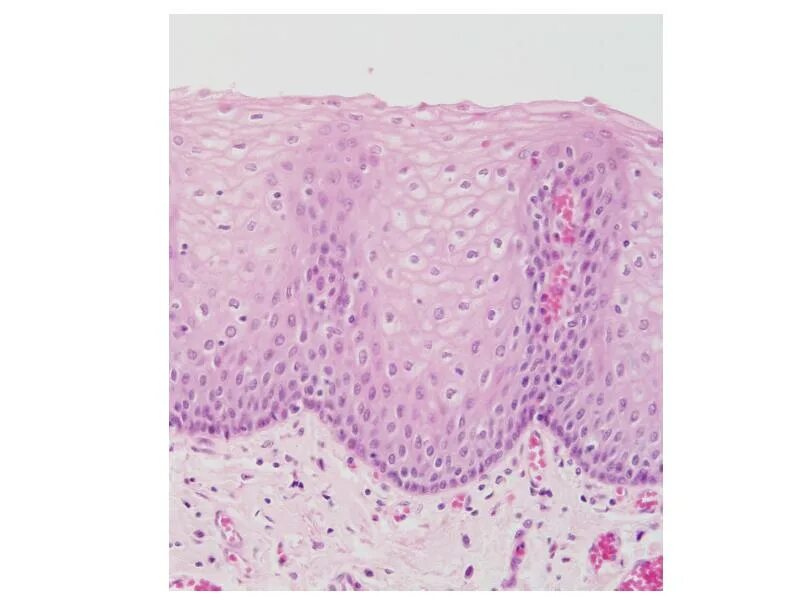
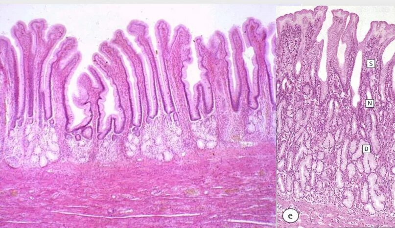
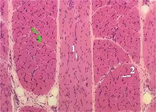
Гистология пищеварительная