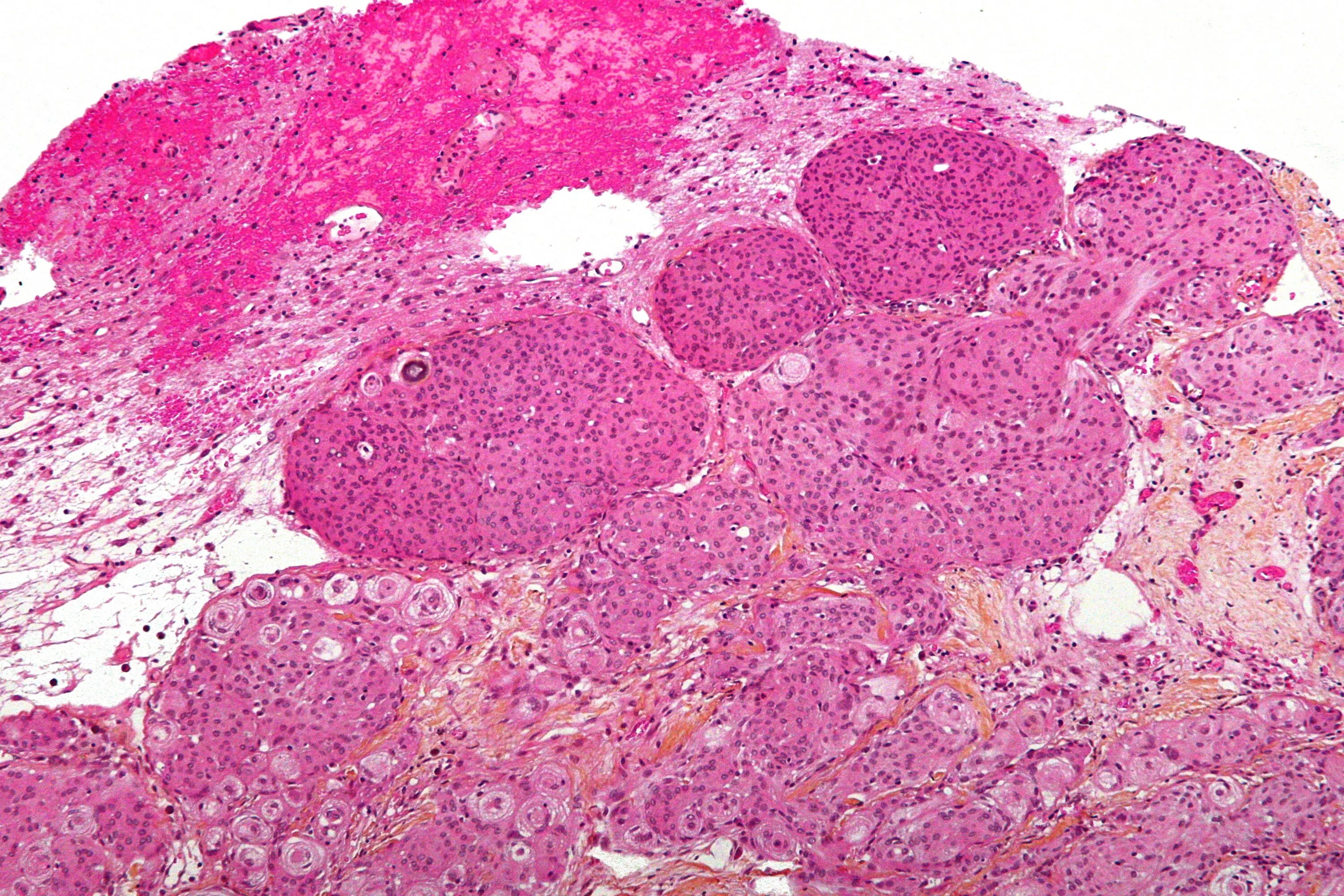
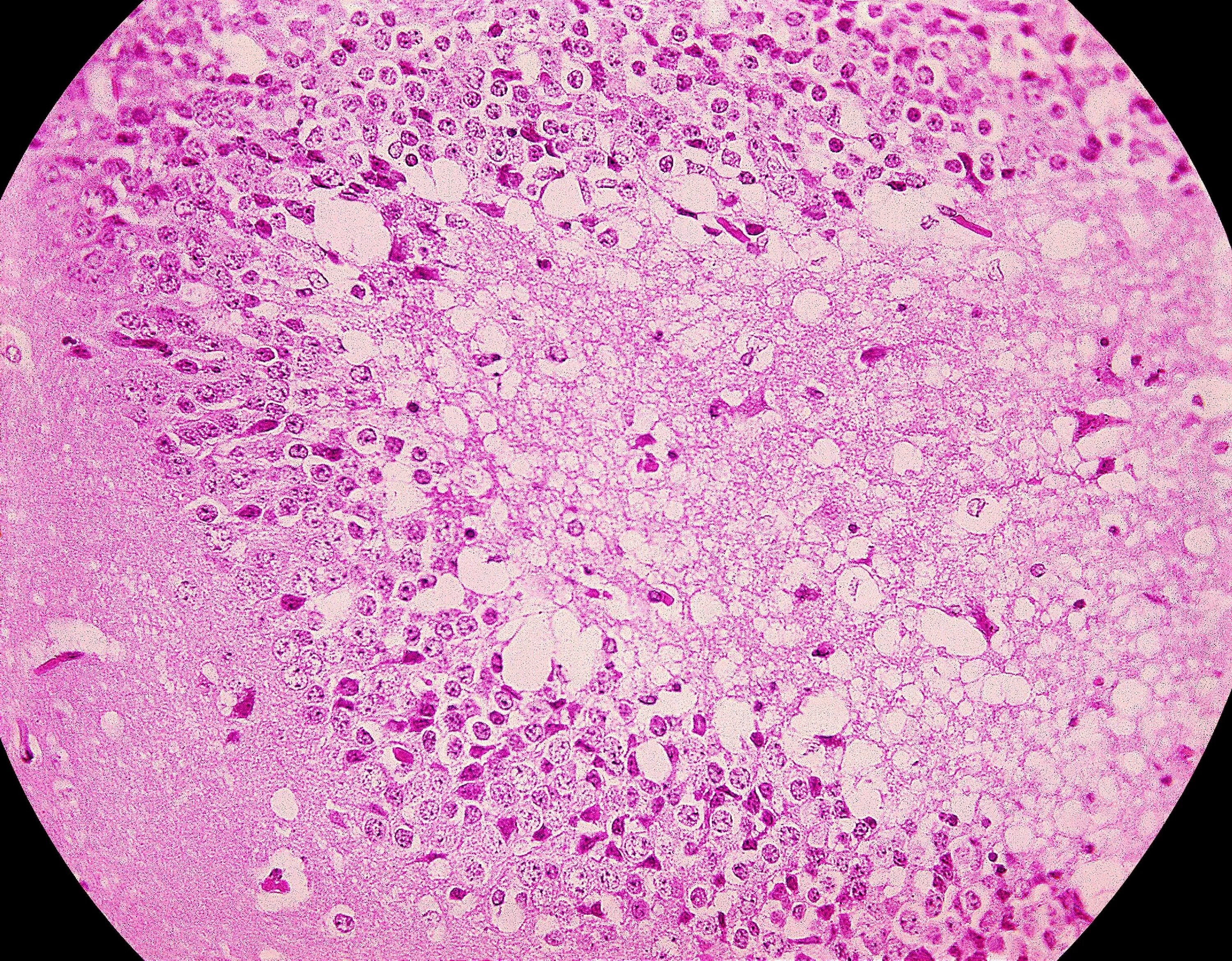
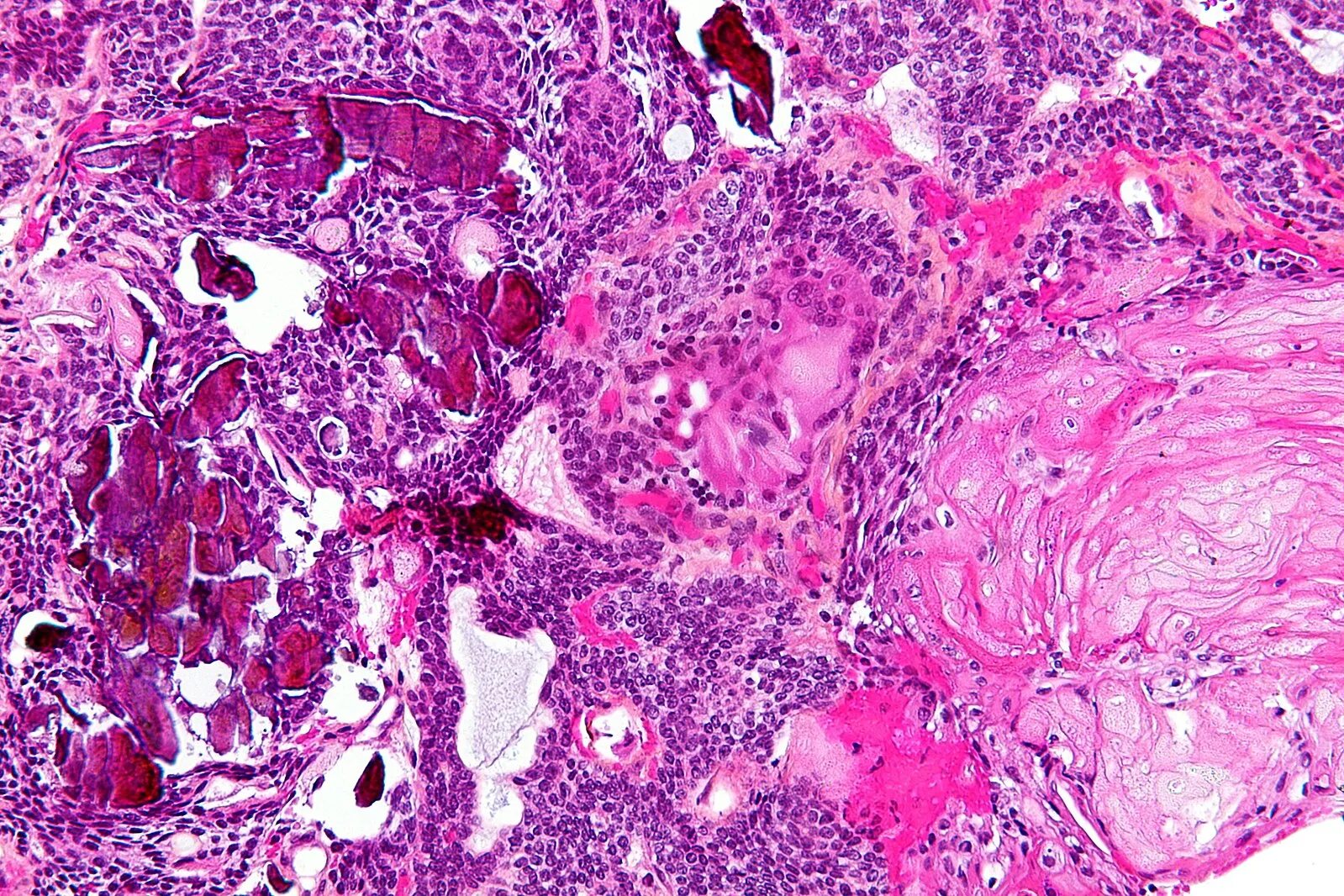
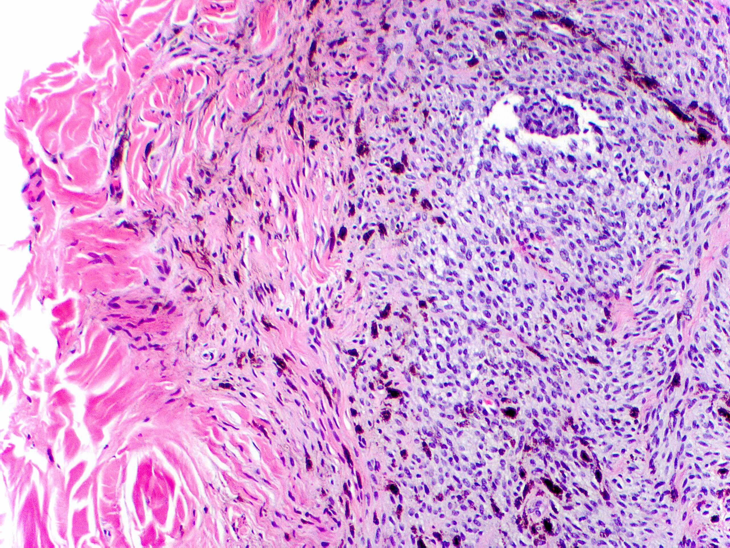
Гистология головы