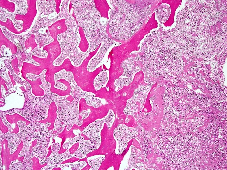
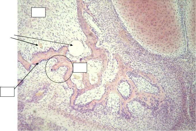
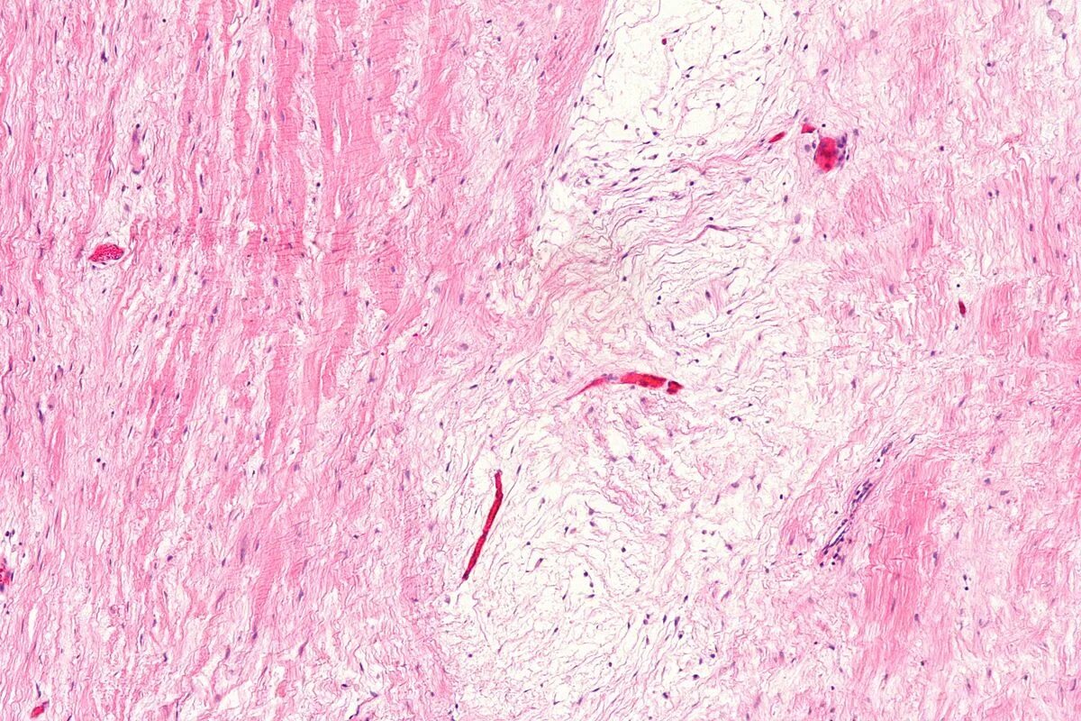
Гистология челюстей