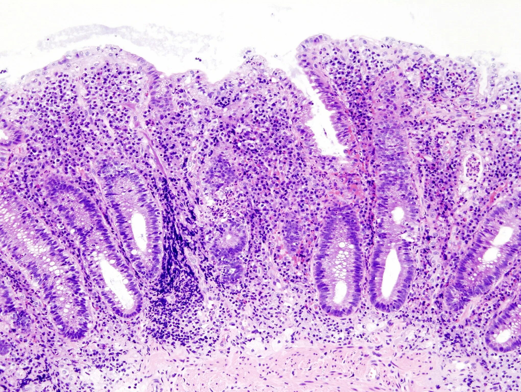
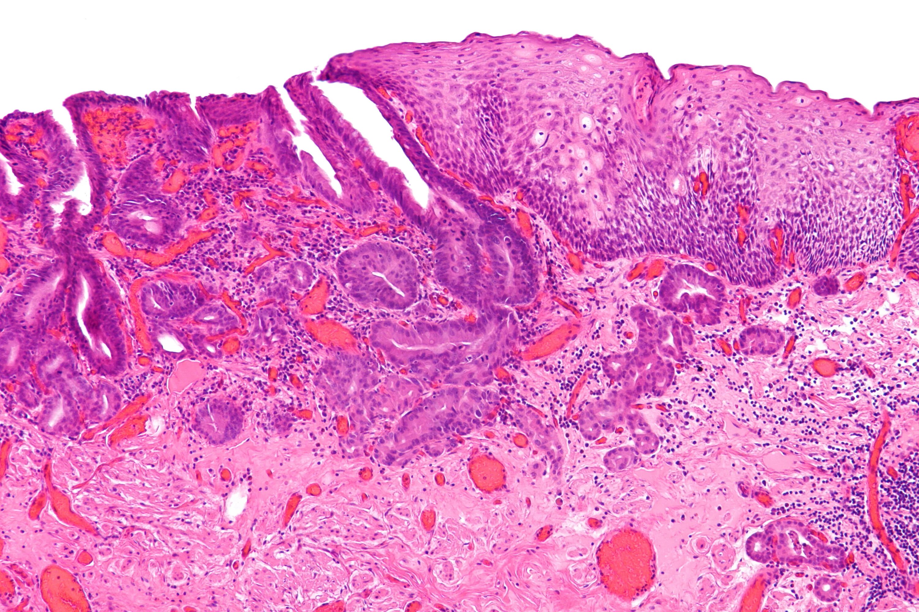
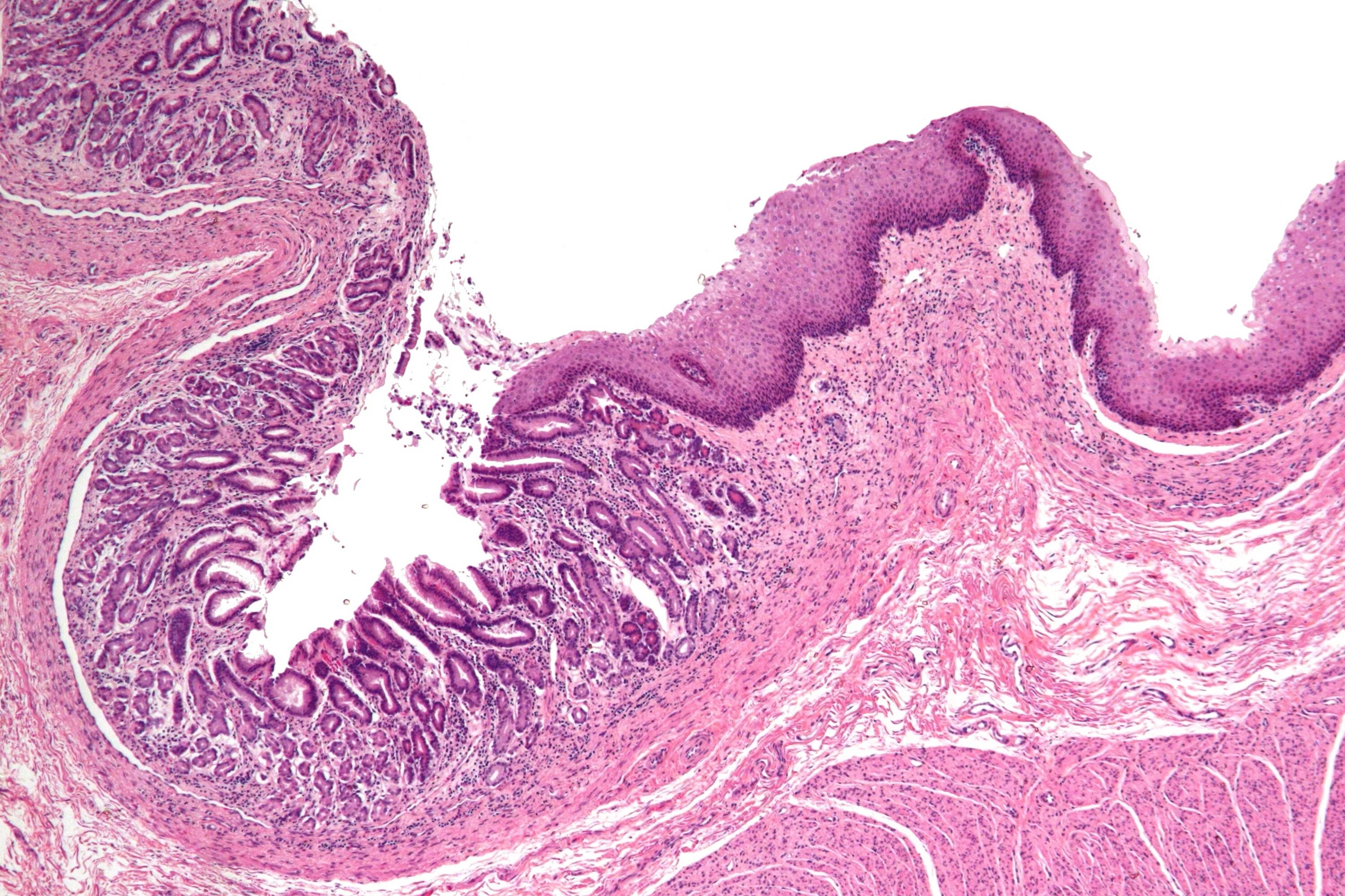
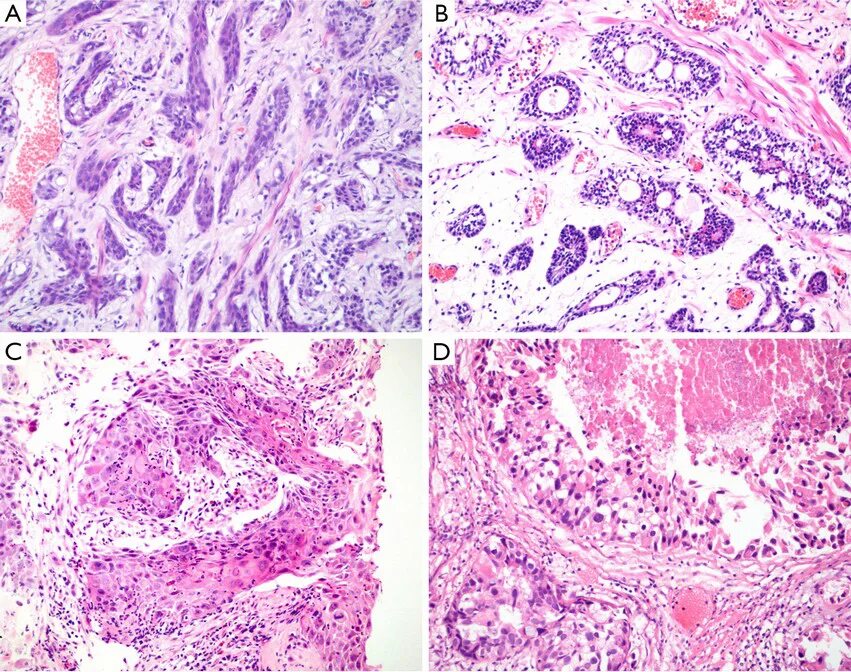
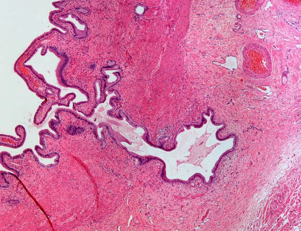
Гистологическое исследование слизистой