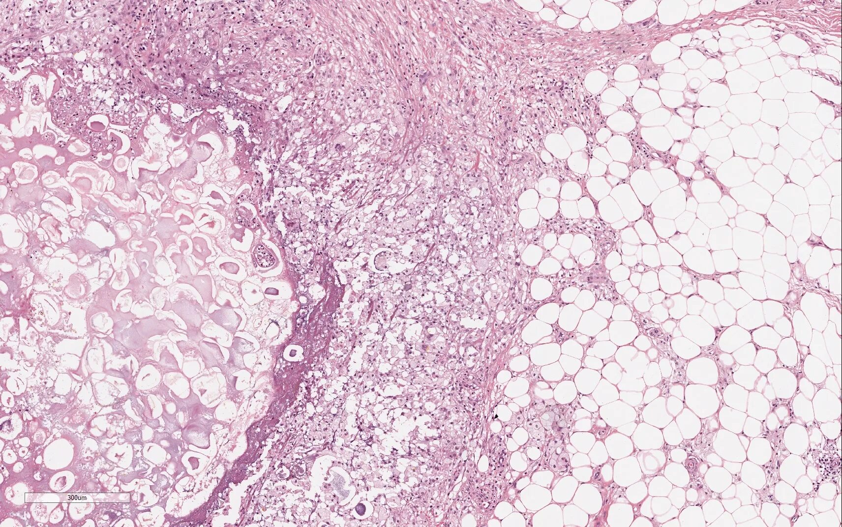
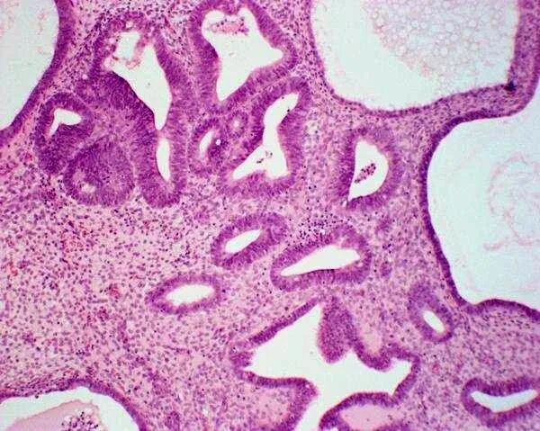
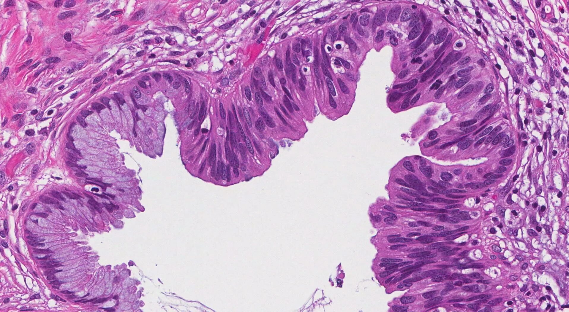
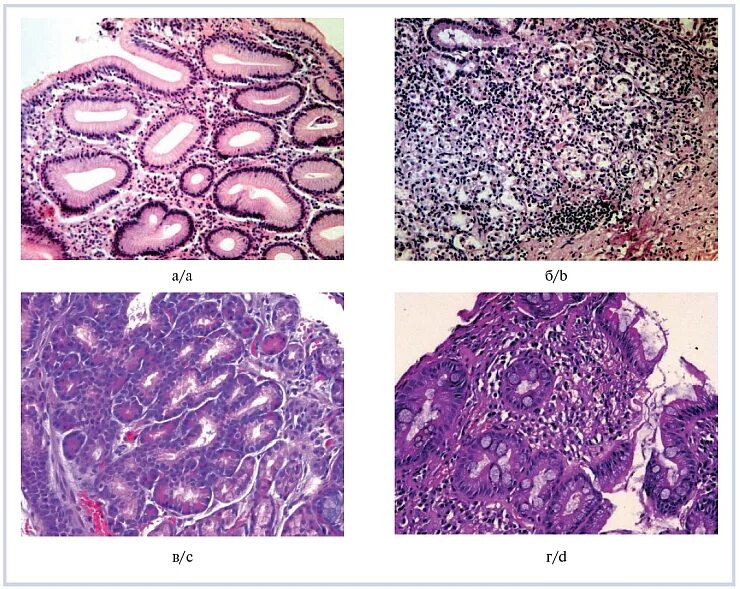
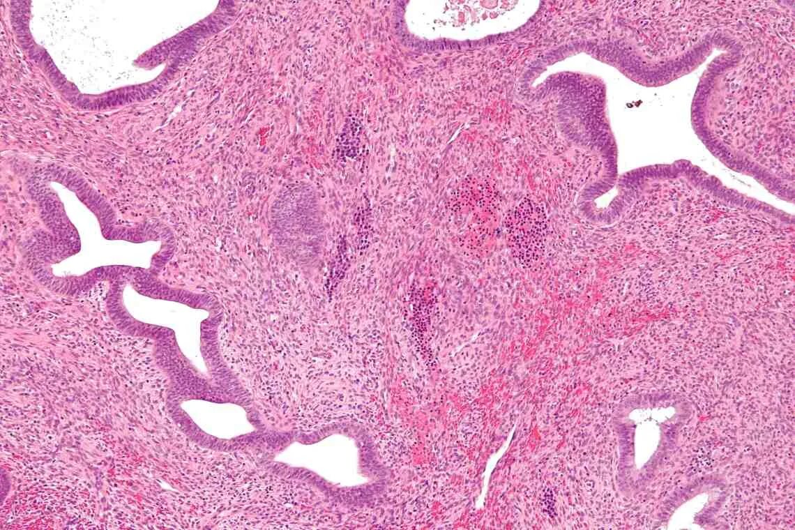
Гистологическое исследование полипа