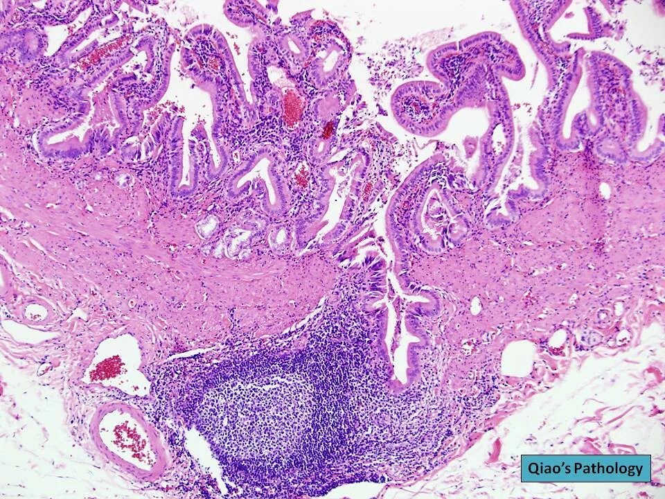
Гистологическая вырезка