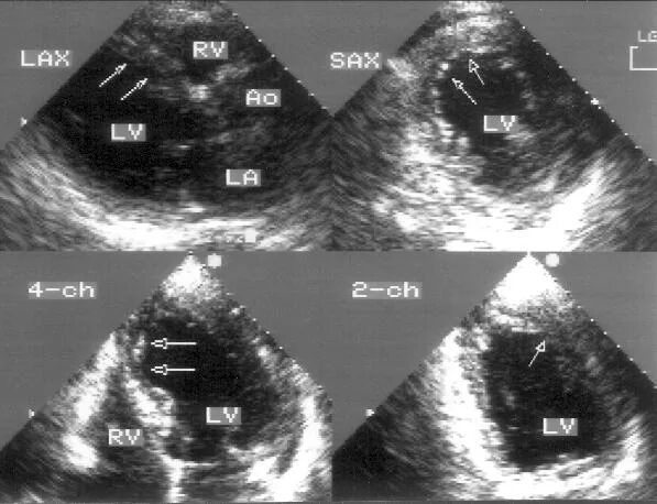
Гипокинез базального сегмента