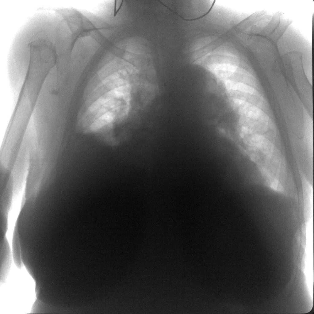
Гидроторакс мкб 10 у взрослых